Table of Contents
Definition / general | Treatment | Gross description | Microscopic (histologic) description | Microscopic (histologic) images | Positive stains | Differential diagnosis | Additional referencesCite this page: Benign notochordal cell tumors. PathologyOutlines.com website. http://www.pathologyoutlines.com/topic/boneBNCT.html. Accessed July 14th, 2017.
Definition / general
- Intraosseous tumors - not notochordal rest or hamartoma
- At autopsy, found in 14% of spinal columns and 11.5% of clivi, usually ages 40+ years, often multiple
Treatment
- Followup but no surgery
- May undergo malignant transformation to classic chordomas
Gross description
- Usually small within axial bones, rarely involve entire vertebrae
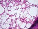
Microscopic (histologic) description
- Well demarcated but unencapsulated
- Sheets of adipocyte-like vacuolated or eosinophilic cells with fewer vacuoles
- Often cytoplasmic eosinophilic hyaline globules
- Bland round nuclei with mild pleomorphism
- May contain colloid-like material
- Bone trabeculae often sclerotic but no bony destruction
- No intercellular myxoid matrix, no necrosis, no mitotic figures
Positive stains
- PAS+ diastase resistant eosinophilic hyaline globules
Differential diagnosis
- Chordoma: osteolytic, lobules are separate by thin fibrous septa, lobules contain cords, strands or sheets of physaliphorous cells with myxoid matrix, cells have mild to marked nuclear atypia
- Notochordal vestiges: cords or strands of notochordal cells within myxoid background, cells have eosinophilic cytoplasm with small vacuoles, pyknotic round nuclei, CK18 negative, usually replaced by fibrocartilage by age 1 - 3 years
Additional references


