Table of Contents
Definition / general | Diagrams / tables | Radiology images | Prognostic factors | Case reports | Treatment | Gross description | Microscopic (histologic) description | Microscopic (histologic) images | Cytology images | Positive stains | Negative stains | Molecular / cytogenetics description | Electron microscopy description | Differential diagnosis | Additional referencesCite this page: Chordoma. PathologyOutlines.com website. http://www.pathologyoutlines.com/topic/bonechordoma.html. Accessed July 14th, 2017.
Definition / general
- Rare malignant midline bone tumor arising from fetal notocord, usually within vertebral bodies, but possibly also in intervertebral discs or presacral soft tissue
- May arise from intraosseous benign notochordal cell tumor (Am J Surg Pathol 2007;31:1573, Mod Pathol 2005;18:1005)
- Usually males, age 40 - 60 years
- Slow growing with repeated recurrences; late distant metastases to skin, bone, ovary (Arch Pathol Lab Med 1990;114:208)
- Invasiveness may be due to expression of cathepsin K (Hum Pathol 2000;31:834)
- Sites: 50% sacrococcygeal (ages 40 - 59 years), 35% spheno-occipital / clivus (particularly children, image of clivus), 15% thoracolumbar spine
- Sacrococcygeal: sacrum destroyed by osteolytic tumor; tumor may extend into retroperitoneum, presents as palpable extrarectal mass
- Spheno-occipital: presents as nasal, paranasal or nasopharyngeal mass involving cranial nerves
- Posterior mediastinum: Xray presentation is well circumscribed, encapsulated soft tissue mass separate from spine (Hum Pathol 1995;26:1354)
Prognostic factors
- Poor
- Large tumor size, positive surgical margins, tumor necrosis, high proliferative activity, areas of dedifferentiation
- Up regulation of N cadherin and down regulation of E cadherin (Am J Surg Pathol 2005;29:1422)
Case reports
- 47 year old Caucasian man with persistent pain in the low back area (Case of the Week #110)
- 71 year old man with lumbosacral tumor with high grade malignant cartilaginous and spindle cell components (Am J Surg Pathol 1990;14:384)
- Patient with chordoma of distal ulna (chordoma periphericum, Am J Surg Pathol 2001;25:263)
- Patient with spheno-occipital tumor evolving to an acute pontocerebellar hemorrhage (Arch Pathol Lab Med 1989;113:1075)
Treatment
- Aggressive surgery, often leading to long survival (Oncologist 2007;12:1344)
- In children, external radiation is often successful for base of skull tumors (Am J Surg Pathol 2006;30:811)
- Some tumors may dedifferentiate to high grade spindle cell sarcomas
Gross description
- Soft, gelatinous, hemorrhagic, gray tumor
Microscopic (histologic) description
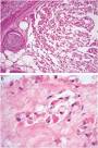
- Cords and lobules of physaliferous (having bubbles or vacuoles) cells separated by fibrous septa with extensive myxoid stroma
- Cells may be very large, with vacuolated cytoplasm, prominent vesicular nucleus (Arch Pathol Lab Med 2004;128:1457)
- Small tumor cells with small nucleus
- Rare mitotic figures
Microscopic (histologic) images
Positive stains
- S100, keratin (CK 8 / 18, CK19, AE1 / AE3), EMA, 5' nucleotidase, glycogen, neural-type cadherin (Arch Pathol Lab Med 2002;126:425)
- Variable: CK903, vimentin, CEA, lysozyme and synaptophysin (Hum Pathol 1998;29:119)
Negative stains
Molecular / cytogenetics description
- Aneuploid
Electron microscopy description
- Mitochondria - endoplasmic reticulum complexes, parallel bundles of crisscrossing tubules, desmosomes (Arch Pathol Lab Med 1993;117:1055)
Differential diagnosis
- Chondrosarcoma: not midline, no fibrous septa, EMA and keratin negative
- Metastatic renal cell carcinoma: prominent vascularity, not lobulated, S100 negative
- Myxopapillary ependymoma: negative for epithelial markers
- Parachordoma: soft tissue tumor composed of epithelioid cells, smaller “glomoid” cells and spindle cells, negative for CK7, CK19, CK20, CEA
- Signet cell adenocarcinoma of rectum
Additional references













