
Home
Chapter Home
Jobs
Conferences
Fellowships
Books
Advertisement
Definition
=========================================================================
- Benign biphasic tumor with epithelial and stromal components
Epidemiology
=========================================================================
- Usually women age 30 years or less
Sites
=========================================================================
- Often in upper outer quadrant
Etiology
=========================================================================
- Usually considered neoplastic; some believe it results from hyperplasia of lobular components
Clinical features
=========================================================================
- Most common benign tumor of female breast
- May have neoplastic stromal component with polyclonal epithelial component
- Hormonally responsive, grows during pregnancy and late luteal phase, regresses after menopause (Am J Epidemiol 2002;156:599)
- Associated with mildly increased risk of carcinoma, especially with ductal hyperplasia or family history of breast carcinoma
- Rarely coexists with DCIS (2%, Am J Clin Pathol 2001;115:736) or LCIS (Arch Pathol Lab Med 1984;108:590)
- Infarction is associated with pregnancy, lactation and fine needle aspiration (Arch Pathol Lab Med 1996;120:1069, Diagn Pathol 2013;8:38), but rarely is spontaneous (Pediatr Radiol 2004;34:988)
- "Fibroadenomatosis": multifocal disease, associated with cyclosporin A for kidney transplants (50% of females post-transplant, Ren Fail 2005;27:721, Arch Pathol Lab Med 2003;127:375)
- Association with EBV in immunosuppressed is controversial (Mod Pathol 2002;15:759, Mod Pathol 2003;16:1242)
- Xray: heavy, coarse calcifications
Case reports
=========================================================================
Treatment
=========================================================================
- Excision (completely excise if 4 cm or more, enlarging over time and infiltrative border; after core biopsy, excise if cellular stroma found and phyllodes tumor cannot be excluded)
- May "recur" if adjacent fibroadenomatous hyperplasia is present
- Cryoablation (Am J Surg 2005;190:647)
- Anti-estrogens (World J Surg 2007;31:1178)
Clinical images
=========================================================================
Mammogram, courtesy of Dr. Mark R. Wick
Gross description
=========================================================================
- Sharply circumscribed with smooth, rounded border, freely movable spherical nodule, usually 3 cm or less
- Gray-white, bulging cut surface with numerous slits
- 20% multifocal
Gross images
=========================================================================
Courtesy of Dr. Mark R. Wick
Multiple fibroadenomas
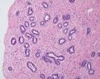
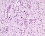
Micro description
=========================================================================
- Rounded contour, overgrowth of fibrous and glandular tissue
- Intralobular stroma (delicate, cellular, myxoid or fibrotic) encloses glandular spaces; may infarct, become inflamed, calcify
- Pericanalicular: open glandular spaces vs intracanalicular: compressed glandular spaces [no clinical significance to this distinction]
- Glands have cuboidal/low columnar epithelium and adjacent myoepithelium, but no atypia
- 15% have apocrine metaplasia
- May have myxoid change (suggests Carney's syndrome), sclerosing adenosis, epithelial hyperplasia or other fibrocystic change
- May have adjacent fibroadenomatous change
- Rarely has pleomorphic, bizarre multinucleated giant cells (Arch Pathol Lab Med 2000;124:1721, Diagn Pathol 2008;3:33, Am J Surg Pathol 1986;10:823, Arch Pathol Lab Med 1994;118:912), squamous metaplasia, smooth muscle or adipose tissue, metaplastic cartilage, DCIS or LCIS
- Fibroadenoma phyllodes: rarely has focal leaf-like processes but otherwise typical fibroadenomatous stroma
- No necrosis, no elastic tissue, no anaplasia, no mitotic figures
Micro images
=========================================================================
Virtual slides
=========================================================================
Videos
=========================================================================
Fibroadenoma:
Cytology description
=========================================================================
Cytology images
=========================================================================
Fig 1: multiple masses in mammogram
Fig 2/3: FNA shows sheets and clusters of ductal cells and myoepithelial cells with background myxoid stroma
Fig 4: classic features at core biopsy
Positive stains
=========================================================================
Stromal cells
- PR (100%), ER-beta in stroma of cellular fibroadenomas (Mod Path 2006;19:599)
- Usually smooth muscle actin (weak in myxoid or sclerotic tumors)
- CD34
Epithelial cells
- AE1-AE3, CAM5.2, CK7, EMA
Electron microscopy description
=========================================================================
- Basal lamina around epithelial and endothelial cells
Molecular / cytogenetics description
=========================================================================
- Clonal chromosomal aberrations in 20%
Differential diagnosis
=========================================================================
Additional references
=========================================================================
End of Breast - nonmalignant > Benign tumors / changes > Fibroadenoma
Advertisement
This information is intended for physicians and related personnel, who understand that medical information is often imperfect, and must be interpreted in the context of a patient's clinical data using reasonable medical judgment. This website should not be used as a substitute for the advice of a licensed physician.
All information on this website is protected by copyright of PathologyOutlines.com, Inc. Information from third parties may also be protected by copyright. Please contact us at copyrightPathOut@gmail.com
with any questions (click here for other
contact information).