Table of Contents
Definition / general | Clinical features | Case reports | Treatment | Clinical images | Gross description | Gross images | Microscopic (histologic) description | Microscopic (histologic) images | Cytology description | Cytology images | Positive stains | Negative stains | Molecular / cytogenetics description | Electron microscopy images | Videos | Differential diagnosisCite this page: Classic infiltrating lobular carcinoma. PathologyOutlines.com website. http://www.pathologyoutlines.com/topic/breastmalignantlobularclassic.html. Accessed July 14th, 2017.
Definition / general
- Invasive tumor associated with LCIS, composed of noncohesive cells that are individually dispersed or arranged in a single file pattern (Infiltrating Lobular Carcinoma of the Breast - Stanford University)
- Minimal desmoplastic response
Clinical features
- 10% of all breast carcinomas
- Incidence decreasing in US (Cancer Epidemiol Biomarkers Prev 2009;18:1763)
- 10-20% are bilateral; multicentricity within same breast is more common than invasive ductal carcinoma
- Often not well seen on mammograms, and may be more extensive than clinically suspected
- Metastasizes to bone marrow, cerebrospinal fluid and leptomeninges (Arch Pathol Lab Med 1991;115:507), GI tract, ovary, serosal surfaces, uterus (resembles low grade stromal sarcoma) more than other subtypes
- Pan-keratin staining of negative bone marrow biopsies is recommended to detect metastases (Am J Surg Pathol 2000;24:1593, Hum Pathol 1994;25:781), but has minimal value for nodal metastases (Hum Pathol 2008;39:1011)
- Lack of cohesion due to alterations in E-cadherin, an adhesion molecule that is deleted or mutated
- Variants usually coexist with classic pattern
Case reports
- Array-based comparative genomic hybridization of ductal carcinoma in situ and synchronous invasive lobular cancer (Hum Pathol 2004;35:759)
- 56 year old woman with metastasis of lobular breast carcinoma to the uterus (Onkologie 2009;32:424)
- 56 year old woman with breast mass (Case of the Week #369)
- 58 year old man with synchronous bilateral invasive lobular breast cancer presenting as carcinomatosis (Am J Surg Pathol 2009;33:470)
- 60 year old woman with lobular carcinoma of the breast with extracellular mucin (Pathol Int 2009;59:405)
- 61 year old woman with C-kit-positive gastric metastasis of lobular carcinoma of the breast masquerading as gastrointestinal stromal tumor (Breast Cancer 2010;17:303)
- 62 and 92 year old women with metastatic breast lobular carcinoma involving tamoxifen-associated endometrial polyps (Mod Pathol 2003;16:395)
- 70 year old woman with orbital metastasis as the initial presentation of invasive lobular carcinoma of breast (Intern Med 2012;51:1635)
- 88 year old woman with anal metastasis from recurrent breast lobular carcinoma (World J Gastroenterol 2009;15:1388)
Treatment
- Classic variant has better prognosis than non-classic variants overall (Cancer 2008;113:1511, Am J Surg Pathol 1990;14:12)
- May have similar long term prognosis as infiltrating ductal carcinoma (Breast Cancer Res Treat 2009;117:211), but see J Clin Oncol 2008;26:3006 (lobular has better survival at 6 years but worse survival at 10 years)
- In one study, 12 year local relapse free survival was 89%; predictors of relapse were positive margins, age >50 years and contralateral breast cancer (Eur J Surg Oncol 2010;36:176)
Gross description
- Mass with ill-defined margins; often no mass because of diffuse growth pattern
Gross images
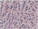
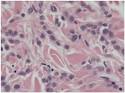
Microscopic (histologic) description
- Cells grow in single file (linear, Indian file) or targetoid pattern of noncohesive cells encircling ducts, loosely dispersed throughout fibrous matrix
- Tumor cells are usually small, uniform, round with minimal pleomorphism, evenly disbursed chromatin and no nucleoli (i.e. nuclear grade 1, like LCIS cells)
- Commonly signet ring cells, intracellular lumina, intracellular mucin, LCIS (90%)
- Variable dense fibrous stroma with periductal and perivenous elastosis
- May have dense lymphoid infiltrate
- No glandular formation in classic cases, but may have preservation of normal glandular structures and ìskip areasî uninvolved by tumor
- < 10 mitoses/10 HPF, no necrosis
- Histologic grading is recommended (Mod Pathol 2005;18:621)
- Most tumors are histologic grade 2 (Breast Cancer Res Treat 2008;111:121)
- 2 tiered nuclear grading system may reduce interobserver variability (Ann Diagn Pathol 2009;13:223), as may nuclear and proliferation grading system (Ann Clin Lab Sci 2009;39:25)
- Bone marrow biopsies:
- Highly suspicious features for metastatic disease are fibrosis, signet ring cells, cells with intracytoplasmic lumina, cells resembling histiocytes
- Architecture is often NOT disrupted
Microscopic (histologic) images
Case of the Week #369:
Images courtesy of Dr. Mark R. Wick:
Invasive lobular carcinoma within fibroadenoma:
Metastases:
Cytology description
- Moderate / highly cellular, pattern is predominantly or partly dissociated
- Usually small / intermediate cells with intracytoplasmic lumina in 57%, light cytoplasm
- Small, eccentric nuclei with finely granular chromatin (Acta Cytol 2000;44:169, Med Mol Morphol 2008;41:121, Cancer 2008;114:111)
Cytology images
Positive stains
- ER, PR
- HMW keratin (helpful in bone marrow biopsy)
- Mucicarmine (intracellular mucin)
- GCDFP-15 (30%)
- PLEKHA7 (Hum Pathol 2012;43:1902)
Negative stains
- E-cadherin (complete absence suggests lobular carcinoma, but rarely is positive and may vary by antibody, Am J Surg Pathol 2008;32:773, Mod Pathol 2008;21:1224)
- p53, HER2, Ki-67
Molecular / cytogenetics description
- Usually diploid
- Truncation mutations in E-cadherin gene (16q) or inactivation of wild-type allele
Electron microscopy images
Videos
Differential diagnosis
- Lymphoma: resembles lobular metastases to axillary nodes or eyelid
- Invasive ductal adenocarcinoma: may have focal lobular features, immunostains may be helpful (Appl Immunohistochem Mol Morphol 2013;21:1)
- Invasive ductal carcinoma with neuroendocrine features


















































