
Home
Chapter Home
Jobs
Conferences
Fellowships
Books
Advertisement
General
=========================================================================
- Low power diagnosis of increase in glandular elements plus stromal proliferation that distorts and compresses glands
- Preservation of luminal epithelium and peripheral myoepithelium with surrounding basement membrane
Terminology
=========================================================================
- Adenosis tumor / nodular adenosis:
- Myoepitheliosis:
- Rare; sclerosing adenosis with predominance of myoepithelial cells, presents as multifocal microscopic lesions (Am J Surg Pathol 1991;15:554)
- Cells may have longitudinal nuclear grooves
Epidemiology
=========================================================================
Clinical features
=========================================================================
Radiology
=========================================================================
- Circumscribed to spiculated mass with architectural distortion
- Amorphous or pleomorphic clustered microcalcifications
Case reports
=========================================================================
Treatment
=========================================================================
- The presence of sclerosing adenosis alone in a core biopsy does not require surgical excision
Gross description
=========================================================================
- Multinodular, cuts with increased resistance
- Gritty but no chalky yellow-white foci or streaks
Micro description
=========================================================================
- Low power diagnosis; increase in glandular elements plus stromal proliferation that distorts and compresses glands
- Maintains lobular architecture at low power with rounded and well defined nodules
- Centrally is more cellular with distorted and compressed ductules; peripherally has more dilated ductules
- Often microcalcifications, apocrine metaplasia
- Two cell layers are present, but myoepithelial cells may vary from being prominent to indistinct
- Also intralobular fibrosis, elastosis and apocrine metaplasia; florid changes are associated with pregnancy
- Rarely penetrates walls of veins or perineural spaces
- No necrosis, no pleomorphism
- Epithelium may be involved by proliferative / atypical lesions or in situ carcinoma
- Can mimic malignancy:
- If non-lobulocentric / infiltrative into fat or stroma
- Conspicuous myoepithelial cells with attenuated epithelial cells can appear like stands of single cells and mimic invasive lobular carcinoma
- Atypical apocrine metaplasia: nuclear atypia / rare mitosis (Mod Pathol 1991;4:1)
- Perineural invasion
Micro images
=========================================================================
Small ducts with microcalcifications
High power
Late stage; fibrosis and decreasing acini
Resembles microglandular adenosis
Myoid differentiation
Adenosis tumor
In sentinel nodes
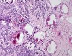
AFIP Fig 52: ducts dilated at periphery
Fig 56-57: Small ducts with microcalcifications
Fig 70: Normal glands in upper right
Fig 58: Retention of myoepithalial-type cells but loss of ductal epithelium
Fig 59: Small bland ducts adjacent to nerve
Fig 53, 55: Intraductal papilloma
Fig 54: Invagination into cystic duct
Fig 198, 199: With LCIS and microinvasion (arrows)
SMM-HC
Smooth muscle actin
CK14
Cytology description
=========================================================================
Positive stains
=========================================================================
Differential diagnosis
=========================================================================
End of Breast - nonmalignant > Adenosis > Sclerosing adenosis
Advertisement
This information is intended for physicians and related personnel, who understand that medical information is often imperfect, and must be interpreted in the context of a patient's clinical data using reasonable medical judgment. This website should not be used as a substitute for the advice of a licensed physician.
All information on this website is protected by copyright of PathologyOutlines.com, Inc. Information from third parties may also be protected by copyright. Please contact us at copyrightPathOut@gmail.com
with any questions (click here for other
contact information).