Table of Contents
Definition / general | Uses by pathologists | Microscopic (histologic) images | Positive staining - normal | Positive staining - disease | Negative stainingCite this page: Cathepsin K. PathologyOutlines.com website. http://www.pathologyoutlines.com/topic/stainscathepsink.html. Accessed July 12th, 2017.
Definition / general
- Lysosomal, papain-like cysteine protease with high matrix-degrading activity; expression is driven by microphthalmia transcription factor (MITF) in osteoclasts
- Responsible for bone resorption and remodeling
- Germline mutations cause sclerosing osteochondrodysplasia pycnodysostosis, a rare autosomal recessive skeletal dysplasia characterized by abnormal bone and tooth development
Uses by pathologists
- Diagnosis of renal angiomyolipoma and other renal erivascular epithelioid cell tumors (Mod Pathol 2012;25:100)
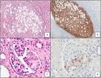
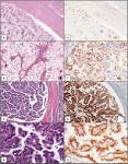
Microscopic (histologic) images
Images hosted on other servers:
Images hosted on Nature.com:
Positive staining - normal
- Fibroblasts (skin, lung, J Am Acad Dermatol 2012;66:e89), osteoclasts
- Intervertebral disc (Arthritis Res Ther 2011;13:R140)
- Skin: stratum corneum, mature sebaceous cells, outer root sheath of hair follicles (J Eur Acad Dermatol Venereol 2013;27:e128)
Positive staining - disease
- Alveolar soft parts sarcoma (Mod Pathol 2011;24:1313)
- Basal cell carcinoma (J Eur Acad Dermatol Venereol 2013;27:e128)
- Cholesteatoma (Mod Pathol 2001;14:1226), chordoma (Hum Pathol 2000;31:834)
- Granular cell tumor, histiocytic lesions, melanoma (Am J Clin Pathol 2013;139:151)
- Kidney: perivascular epithelioid cell tumor (diffuse, Mod Pathol 2012;25:100), PRCC-TFE3 carcinomas (Mod Pathol 2011;24:1313)
- Lung: lymphangioleiomyomatosis (Mod Pathol 2009;22:161)
- Osteoclastic giant cells
- Melanoma, osteoclastoma
Negative staining
- Endothelium
- Most carcinomas (Am J Clin Pathol 2013;139:151)






