Cite this page: E-cadherin. PathologyOutlines.com website. http://www.pathologyoutlines.com/topic/stainsecadherin.html. Accessed July 12th, 2017.
Definition / general
- "Epithelial calcium-dependent cell adhesion protein"
- Calcium dependent transmembrane epithelial protein that promotes intercellular adhesion
- Its loss is associated with invasive carcinoma
- Tumor suppressor gene CDH1 is at 16q22.1
- Abnormal function in carcinomas may facilitate cellular detachment leading to metastasis
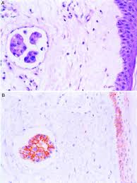
- Interpretation: normal pattern is membranous staining
- Bladder: reduced expression in invasive bladder carcinoma
- Breast cancer: absent expression in lobular carcinoma and LCIS
- Reduced expression in ductal carcinoma
- Positive expression in small cell carcinoma (Am J Surg Pathol 2001;25:831) and DCIS (Am J Surg Pathol 2001;25:229)
- Stomach: signet ring carcinomas is negative for E-cadherin expression
- Colonic adenocarcinoma: diminished membranous staining compared to adenomas with misplaced epithelium (Am J Surg Pathol 2002;26:206)
Uses by pathologists
- Distinguish LCIS from DCIS in indeterminate cases (Am J Surg Pathol 2001;25:229)
- Marker of immature erythroid precursors (Am J Clin Pathol 2014;141:656)



