Table of Contents
Definition / general | Etiology | Diagrams / tables | Prognostic factors | Treatment | Gross description | Gross images | Microscopic (histologic) description | Microscopic (histologic) images | Differential diagnosis | Additional referencesCite this page: Endometrial hyperplasia - General. PathologyOutlines.com website. http://www.pathologyoutlines.com/topic/uterusendometrialhyperplasiageneral.html. Accessed July 16th, 2017.
Definition / general
- Definition: Proliferation of endometrial glands with an increase in the gland to stroma ratio compared to proliferative endometrium (> 1:1, glands represent more than 50% of the surface area)
- The term "endometrial hyperplasia" includes lesions ranging from reversible glandular proliferations to direct cancer precursors (Semin Diagn Pathol 2010;27:199)
- Incidence: simple - 142 / 100,000 woman-years, complex - 213 / 100,000 woman-years (both in the early 50s); atypical - 56 / 100,000 woman-years (in early 60s) (Am J Obstet Gynecol 2009;200:678)
- Comparing curettage to subsequent hysterectomy, false positive rate of 1.8% and false negative rate of 13.2%; less accurate if use Pipelle endometrial sampler (Eur J Obstet Gynecol Reprod Biol 2011;159:172)
- Previously classified based on WHO as simple vs complex, nonatypical vs atypical or EIN systems (J Gynecol Oncol 2010;21:97) - current WHO classification incorporates both systems and simplifies the terminology
- Previous WHO system (endometrial hyperplasia) suffers from poor diagnostic reproducibility (Am J Surg Pathol 2008;32:691)
Etiology
- Prolonged estrogenic stimulation with reduced progestational activity (usually near menopause or associated with anovulatory cycles)
- Polycystic ovarian disease (Stein-Leventhal syndrome)
- Ovarian granulosa cell tumors (functional)
- Ovarian cortical stromal hyperplasia
- Estrogen replacement therapy without progestational agents (Ann Epidemiol 2009;19:1)
- Also associated with higher body mass index and obesity (J Reprod Med 2011;56:110)
- Progression from normal to simple to complex hyperplasia associated with reduced levels of von Hippel-Lindau mRNA and protein (Int J Gynecol Cancer 2011;21:430)
Prognostic factors
- Usual predecessor to endometrial carcinoma, particularly younger women or those with well differentiated endometrioid adenocarcinoma, although most with hyperplasia do NOT develop carcinoma
- Risk of developing carcinoma is greater with atypical hyperplasia and EIN
- For nonatypical endometrial hyperplasia, risk was 1.2% at 4 years, 1.9% at 9 years, 4.6% at 19 years after diagnosis; for atypical hyperplasia, risk was 8.2% at 4 years, 12.4% at 9 years, 27.5% at 19 years (J Clin Oncol 2010;28:788)
- Focal gland crowding, that does not fulfill all criteria for EIN, carries substantial risk of EIN and occasionally malignancy (Mod Pathol 2010;23:1486)
Treatment
- Benign (nonatypical) endometrial hyperplasia: progestins or Levonorgestrel Intrauterine System / LNG-IUS (Jpn J Clin Oncol 2011;41:817)
- Endometroid intraepithelial neoplasia / atypical hyperplasia: hysterectomy is the standard of care; progestins or LNG-IUS in candidates for fertility sparing treatment
Gross description
- Lush, polypoid endometrium
Microscopic (histologic) description
- See topics on benign (non-atypical) endometrial hyperplasia and endometrial intraepithelial neoplasia / atypical endometrial hyperplasia
- Metaplasia common: squamous, ciliated cell, mucinous; grade hyperplasia separate from metaplastic changes
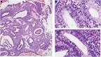
Microscopic (histologic) images
Differential diagnosis
- Artifacts
- Endometrial polyps
- Endometritis
- Metaplasia
- Normal endometrium
Additional references





