Placenta
Gestational trophoblastic disease
Neoplasms
Staging-gestational trophoblastic neoplasms
Last author update: 15 October 2024
Last staff update: 15 October 2024
Copyright: 2002-2025, PathologyOutlines.com, Inc.
PubMed Search:
Staging-gestational trophoblastic neoplasms
Page views in 2024: 910
Page views in 2025 to date: 2,123
Cite this page: Kertowidjojo E. Staging-gestational trophoblastic neoplasms. PathologyOutlines.com website. https://www.pathologyoutlines.com/topic/placentastaging.html. Accessed October 2nd, 2025.
Definition / general
- All gestational trophoblastic neoplasms (GTN) are covered by this staging system
- These topics are not covered: nongestational trophoblastic tumors (e.g., ovarian choriocarcinoma), benign trophoblastic tumors (e.g., placental site nodule, complete and partial hydatidiform moles)
Essential features
- American Joint Committee on Cancer (AJCC) 7th edition staging was sunset on December 31, 2017; as of January 1, 2018, use of the 8th edition is mandatory
Terminology
- Gestational trophoblastic neoplasm, gestational trophoblastic disease, placental neoplasm
ICD coding
- ICD-10: C58 - malignant neoplasm of placenta
Primary tumor (pT)
- pTX: primary tumor cannot be assessed
- pT0: no evidence of primary tumor
- pT1: tumor confined to uterus
- pT2: tumor extends to other genital structures (ovary, fallopian tube, vagina, broad ligaments) by metastasis or direct extension
Regional lymph nodes (pN)
Notes:
- N classification is not used in the staging of gestational trophoblastic neoplasm, as nodal involvement is rare and portends an extremely poor prognosis
- Any lymph node metastasis should be classified as metastatic (M1b) disease
Prefixes
- y: posttreatment
- r: recurrent
FIGO stage (2018 FIGO Cancer Report)
- I: disease confined to the uterus
- II: gestational trophoblastic tumor extends outside of the uterus but limited to the genital structures (adnexa, vagina, broad ligament)
- III: gestational trophoblastic tumor extends to the lungs with or without known genital tract involvement
- IV: all other metastatic sites
Prognostic scoring index
Prognostic factor
| Risk score
|
| 0
| 1
| 2
| 4
|
Age
| < 40
| ≥ 40
| -
| -
|
Antecedent pregnancy
| Mole
| Abortion
| Term
| -
|
Interval months from index pregnancy
| < 4
| 4 - 6
| 7 - 12
| > 12
|
Pretreatment hCG (IU/mL)
| < 103
| 103 - < 104
| 104 - < 105
| ≥ 105
|
Largest tumor size, including uterus (cm)
| < 3
| 3 - 5
| > 5
| -
|
Site of metastases
| Lung
| Spleen, kidney
| GI tract
| Brain, liver
|
Number of metastases
| -
| 1 - 4
| 5 - 8
| > 8
|
Previous failed chemotherapy
| -
| -
| Single drug
| 2 or more drugs
|
Note:
- Lung is the most common site of metastasis and is not considered an adverse prognostic factor
FIGO stage groupings
TNM classification
| FIGO stage
| Stage with risk score
|
T1
| M0
| I
| I: risk score
|
T2
| M0
| II
| II: risk score
|
Any T
| M1a
| III
| III: risk score
|
Any T
| M1b
| IV
| IV: risk score
|
Registry data collection variables
Histologic grade
- Histologic grade is not applicable to gestational trophoblastic neoplasms
Histopathologic type
- Invasive hydatidiform mole
- Gestational choriocarcinoma
- Placental site trophoblastic tumor (PSTT)
- Epithelioid trophoblastic tumor (ETT)
- Mixed trophoblastic tumors
Gross images
Contributed by Elizabeth Kertowidjojo, M.D., Ph.D., M.P.H.
Invasive hydatidiform mole
Placental site trophoblastic tumor
Microscopic (histologic) images
Contributed by Elizabeth Kertowidjojo, M.D., Ph.D., M.P.H.
Invasive hydatidiform mole
Placental site trophoblastic tumor
Epithelioid trophoblastic tumor
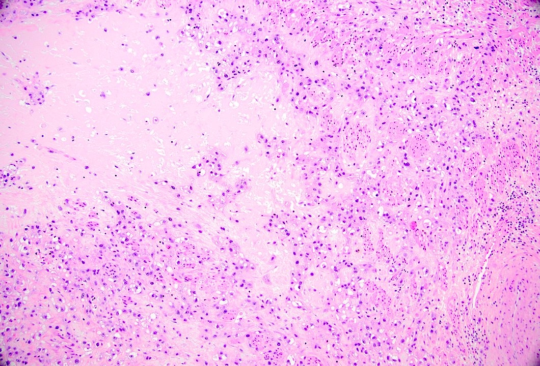
Practice question #1
Which of the following is the pTNM stage (per the AJCC 8th edition) of the gestational trophoblastic neoplasm in the image above? The tumor involves the uterus and bilateral ovaries with metastases to the lung.
- pT1 M0, FIGO stage I
- pT1 M1a, FIGO stage III
- pT2 M0, FIGO stage II
- pT2 M1a, FIGO stage III
- pT2 M1b, FIGO stage IV
Practice answer #1
D. pT2 M1a, FIGO stage III. The figure shows a trophoblastic tumor with geographic necrosis, consistent with an epithelioid trophoblastic tumor. Any tumor with M1a, regardless of the pT status, is staged as FIGO stage III. Answers A and B are incorrect because metastasis to other genital structures is present, which makes this case a pT2 tumor. Answer C is incorrect because this case shows metastasis to the lung, classifying it as a M1a tumor. Answer E is incorrect because the tumor shown would be classified as stage III not IV as it does not extend to other sites outside of the reproductive organs or lungs.
Comment Here
Reference:
Staging-gestational trophoblastic neoplasms
Practice question #2
A 32 year old woman was diagnosed with a placental site trophoblastic tumor. She had a missed abortion 2 years prior to diagnosis. Her serum hCG before surgery was 550 mIU/mL. Imaging did not identify any metastatic foci. The patient underwent a total hysterectomy and bilateral salpingo-oophorectomy. The tumor was found to measure 6.5 cm in greatest dimension with focal extension into the right ovary. What is her FIGO stage and prognostic score?
- FIGO stage I; risk score 4
- FIGO stage I; risk score 5
- FIGO stage II; risk score 4
- FIGO stage II; risk score 7
- FIGO stage III; risk score 7
Practice answer #2
D. FIGO stage II; risk score 7. Involvement of the ovary and the lack of metastasis makes this a pT2 M0 tumor, which corresponds to FIGO stage II. The patient is < 40 years old (score 0) with an antecedent abortion (score 1) which occurred 2 years prior (score 4). Her pretreatment hCG is below 1,000 IU/mL (score 0) and her largest tumor size is 6.5 cm (score 2). She has no metastatic disease or involvement beyond the reproductive organs (score 0 + 0) and no prior treatment (score 0). Taken together, her prognostic score is 0 + 1 + 4 + 0 + 2 + 0 + 0 + 0 = 7.
Comment Here
Reference:
Staging-gestational trophoblastic neoplasms

Back to top