Table of Contents
Definition / general | Essential features | Terminology | Pathophysiology | Diagrams / tables | Clinical features | Interpretation | Uses by pathologists | Prognostic factors | Microscopic (histologic) images | Virtual slides | Positive staining - normal | Positive staining - disease | Negative staining | Pitfalls | Sample pathology report | Additional references | Practice question #1 | Practice answer #1Cite this page: Bantumilli S, Trembath DG. Cytokeratin 34 beta E12. PathologyOutlines.com website. https://www.pathologyoutlines.com/topic/stainsck34be12.html. Accessed October 5th, 2025.
Definition / general
- Broad spectrum high molecular weight cytokeratins
- Antibody specific for high molecular weight cytokeratins 1, 5, 10 and 14, which are found in complex epithelia
Essential features
- Basic (type 2) cytokeratin
- High molecular weight protein groups of 48 - 67 kD
- Useful in the detection of epithelial basal cells
- Highlights intermediate filaments in basal cell cytoplasm
- Specific for prostatic basal cells and stratified squamous epithelium
Terminology
- High molecular weight keratin (HMWK) or high molecular weight cytokeratin (HMWCK)
- CK903 / K903
- 34βE12 / 34betaE12
- Cytokeratin 34 beta E12
Pathophysiology
- Intermediate filaments composed by keratins play a role in modulation of cell proliferation, migration and cancer invasion (Acta Oncol 2016;55:167)
- Keratins play a pivotal role in the integrity and mechanical stability of single epithelial cells via cell-cell contacts (Histochem Cell Biol 2008;129:705)
- Role in regulating the formation of epithelial tumors
- Influences tumor response to treatment and affects patient prognosis (J Cancer 2022;13:1713)
Diagrams / tables
Clinical features
- Point mutations in human CK genes linked to epithelial disorders in multiple tissue types (J Cancer 2022;13:1713)
Interpretation
- Granular cytoplasmic positivity in basal cell of glands (Am J Clin Pathol 1997;107:219)
Uses by pathologists
- Prostate
- Triple cocktail (34βE12 + p63 + AMACR) as ancillary method to diagnose prostate cancer in biopsies with small foci of atypical glands (J Clin Pathol 2012;65:437, Urol Oncol 2011;29:614)
- Useful in diagnosis of prostatic adenocarcinoma (Am J Surg Pathol 1989;13:389, Am J Surg Pathol 1995;19:251)
- Helps in identifying benign atypia by highlighting the basal cells postradiation (Semin Diagn Pathol 2005;22:88)
- Stains prostatic basal cells, even after destaining H&E slides, whose presence rules out usual type prostatic adenocarcinoma (Hum Pathol 2000;31:1155)
- Useful in biopsies and even after hormonal therapy (Am J Clin Pathol 2004;121:99, Hum Pathol 2007;38:332)
- Note that patchy staining may rarely occur in carcinoma and negative staining does not predict carcinoma in small foci of atypical glands (Am J Surg Pathol 2002;26:1151, Hum Pathol 2004;35:43)
- Triple cocktail with p63 and AMACR is more sensitive / specific than 34βE12 alone (Am J Clin Pathol 2007;127:248)
- Distinguishes high grade prostatic intraepithelial neoplasia (PIN) (intact or fragmented basal cell layer) from adenocarcinoma (Mod Pathol 2004;17:360)
- Distinguishes cribriform basal cell hyperplasia from cribriform PIN (Am J Surg Pathol 2002;26:237)
- Typically does not stain prostatic adenocarcinoma cells but does stain prostatic adenoid cystic / basal carcinoma and tumors with squamous differentiation (Am J Surg Pathol 2003;27:1523, Am J Surg Pathol 2004;28:651)
- Breast intraductal lesions
- 90% of flat epithelial atypia, atypical ductal hyperplasia and ductal carcinoma in situ are negative to focally positive for 34βE12
- In contrast, all cases of usual ductal hyperplasia and 90% of lobular carcinoma in situ (LCIS) are diffusely positive with perinuclear cytoplasmic staining with 100% of classic lobular intraepithelial neoplasia exhibiting this pattern (Am J Clin Pathol 2018;149:S30, Arch Pathol Lab Med 2014;138:1629)
- Florid ductal hyperplasia without atypia (intense staining) (Am J Surg Pathol 1999;23:1048)
- Urinary bladder
- Sensitive positive marker for high grade invasive urothelial carcinoma (Histopathology 2003;42:167)
- Distinguishes dysplasia (basal staining only) from carcinoma in situ (stains all urothelial layers) (Hum Pathol 2000;31:745)
Prognostic factors
- Reduced reactivity to CK903 in intrahepatic cholangiocarcinoma: favorable survival (Mod Pathol 2002;15:1181)
- Specific keratin 34βE12 / K7 patterns in lung carcinomas are prognostic factors for cancer specific and overall survival in patients with early stage non-small cell lung cancer (Acta Oncol 2016;55:167)
- Independent predictor of disease free survival in patients with triple negative breast cancer associated with good prognosis (J Clin Pathol 2010;63:744)
- Expression is a good indicator of tumor progression in esophageal squamous cell carcinoma (Biomed Res 2012;33:183)
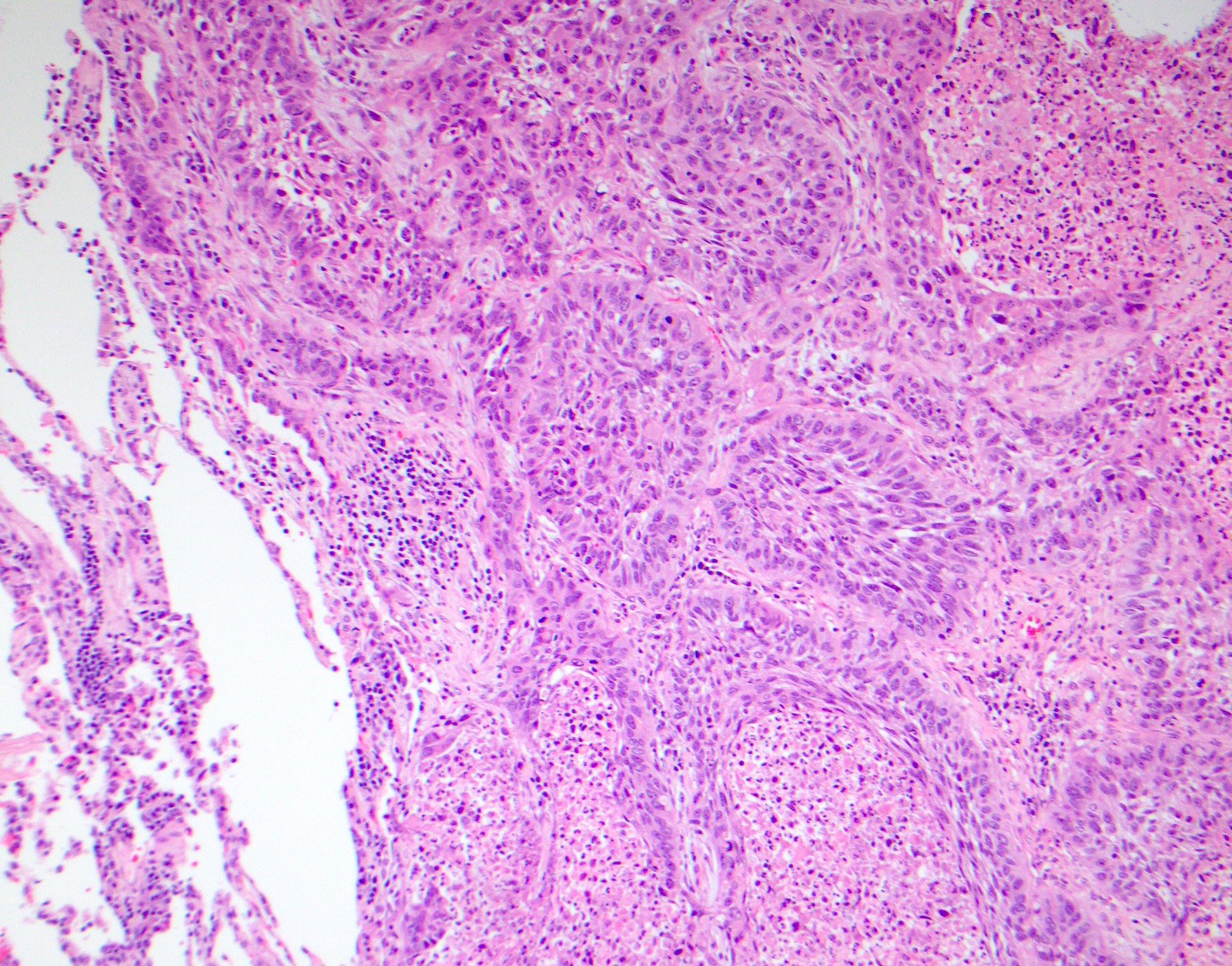
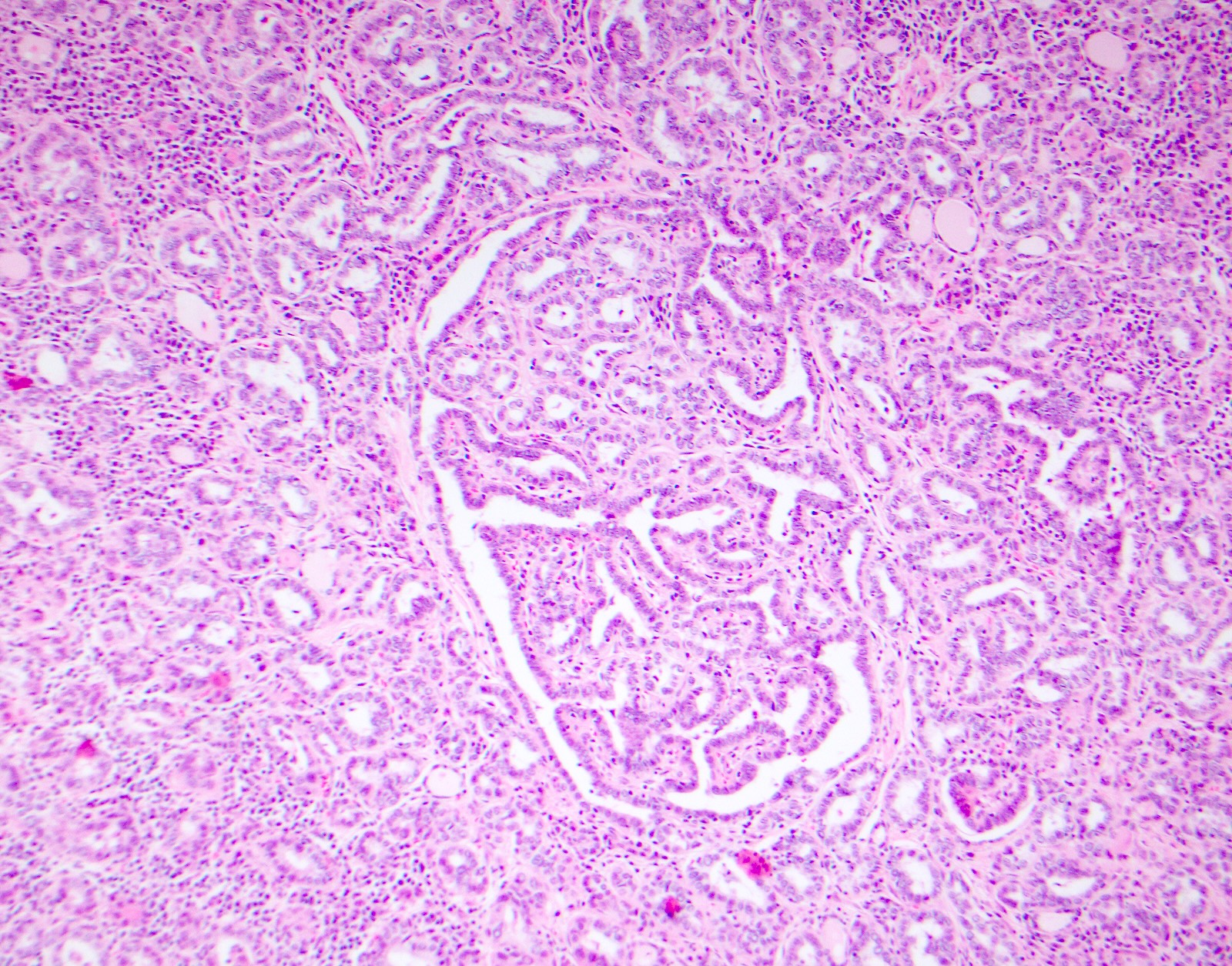
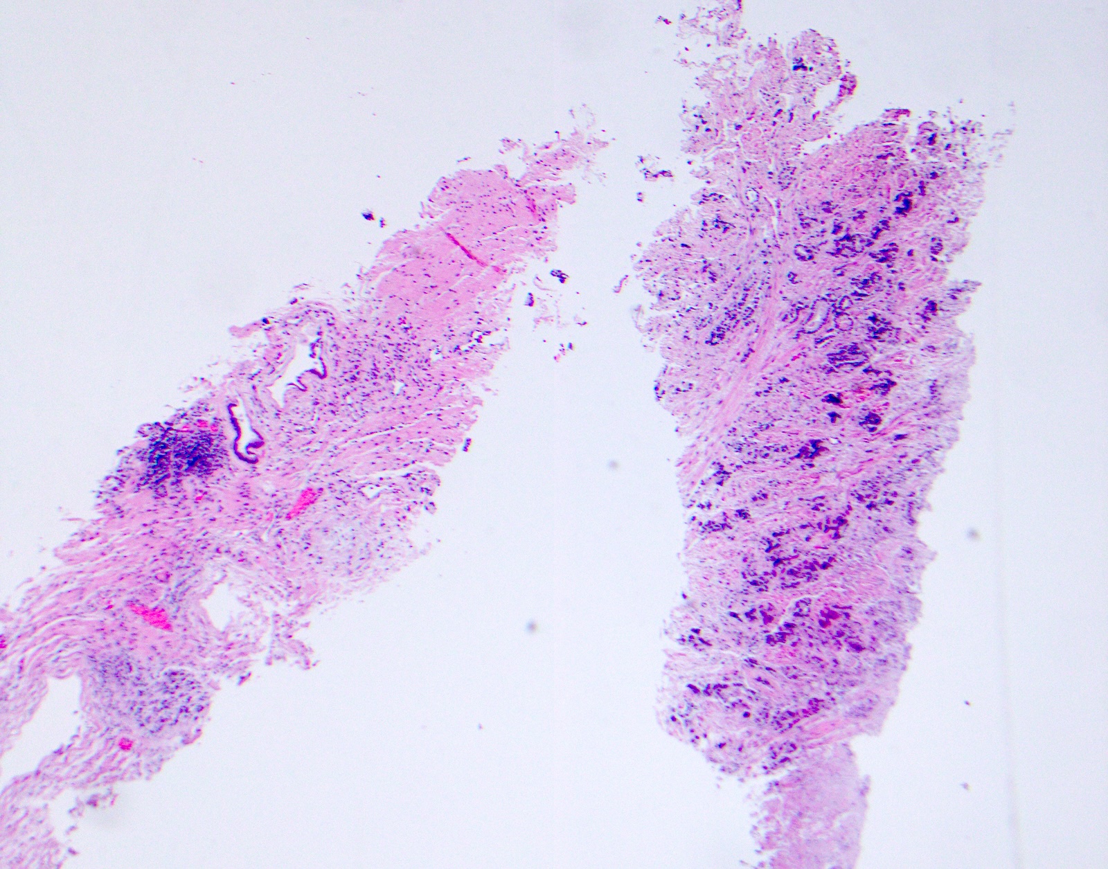
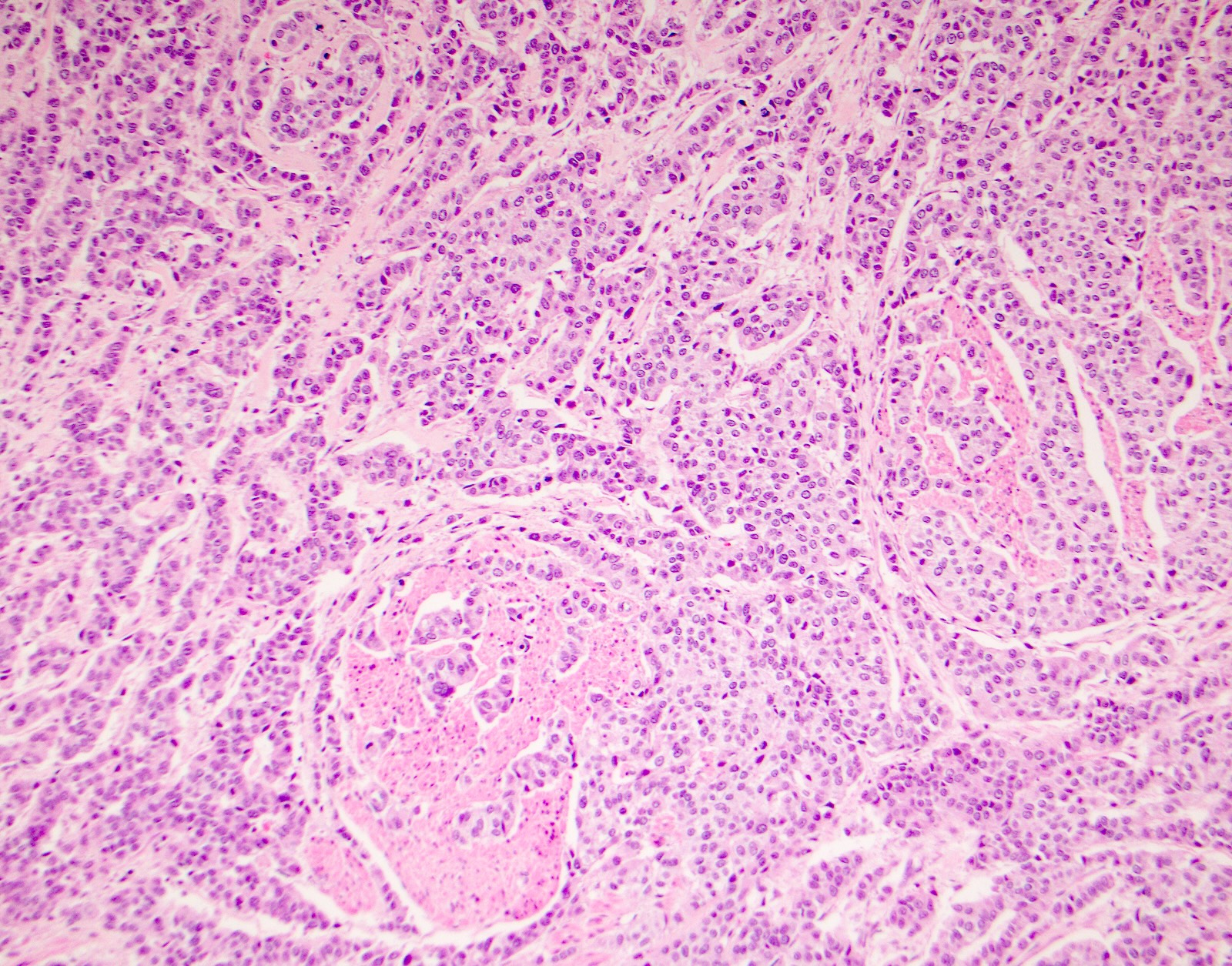
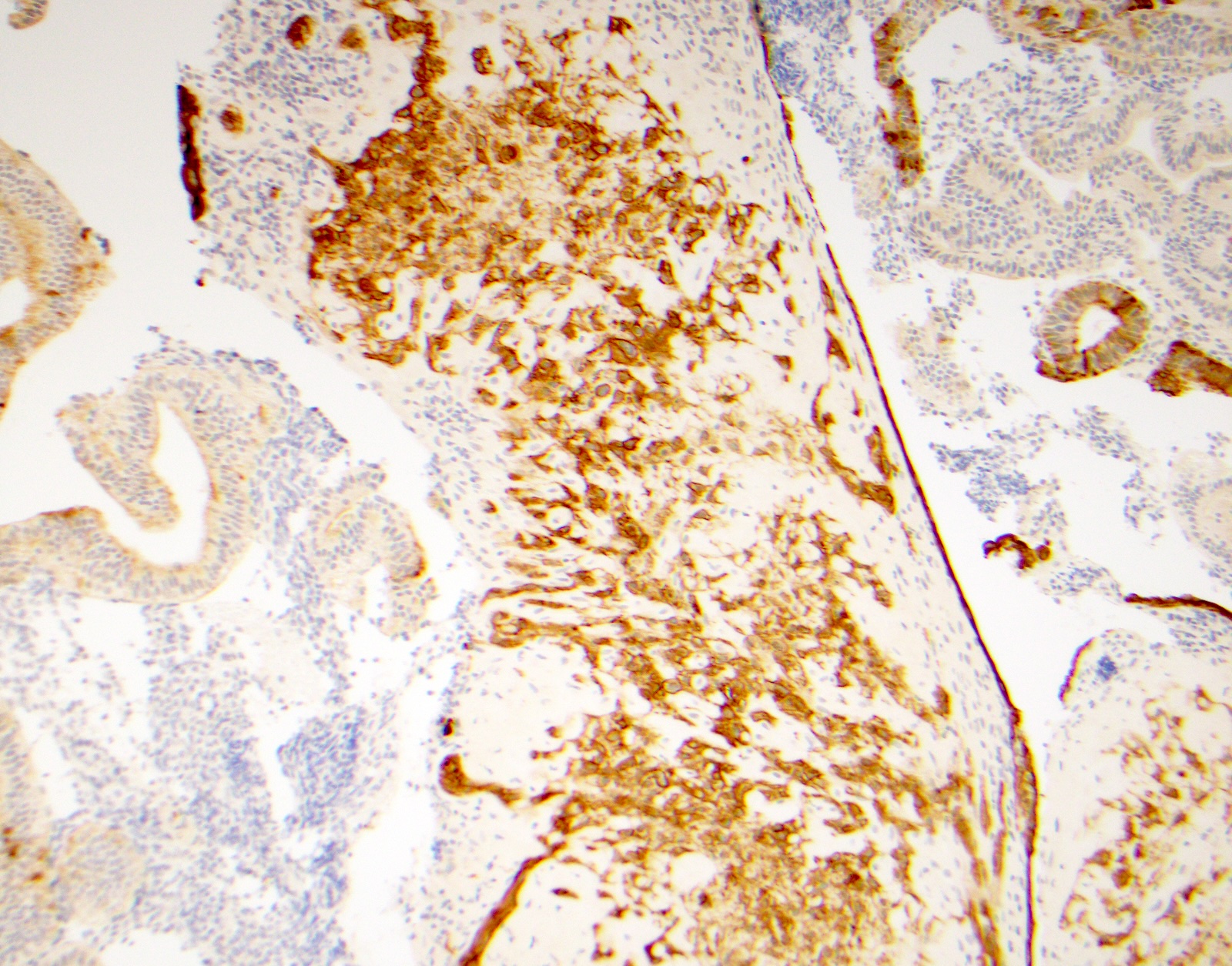
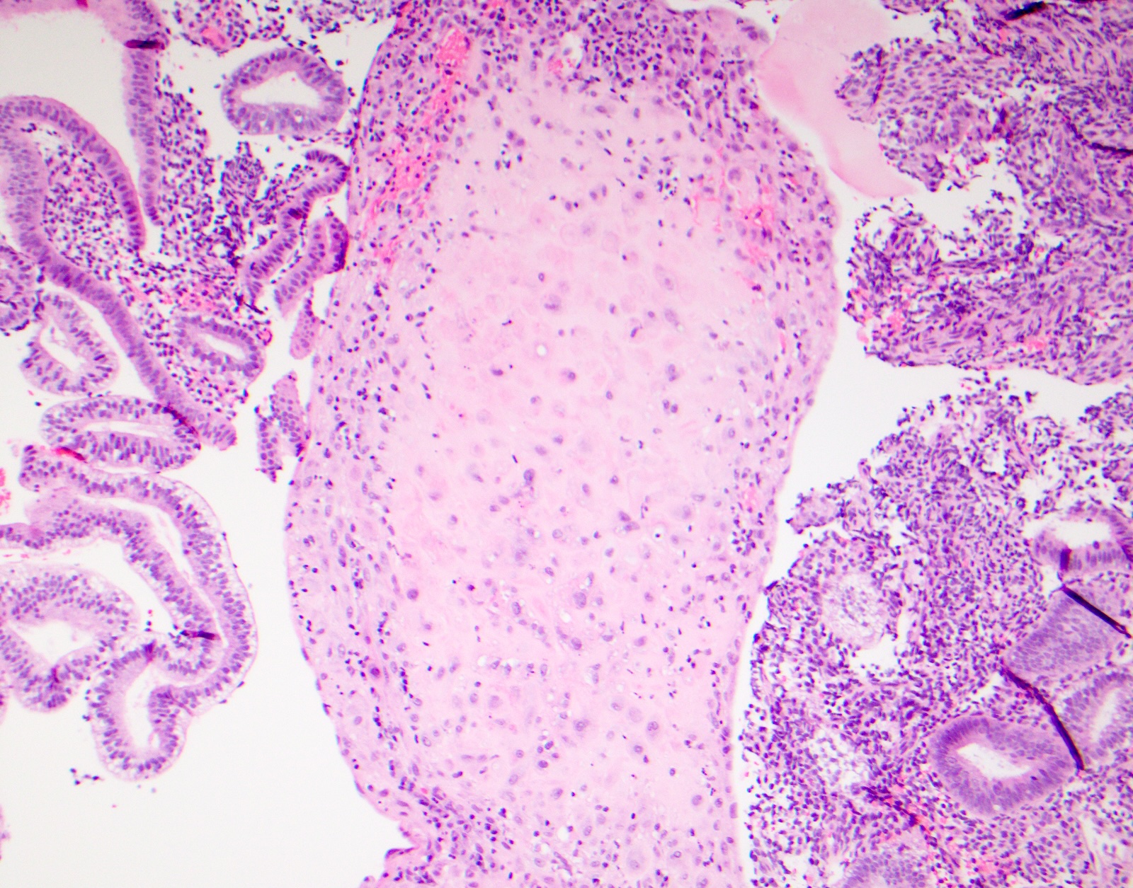
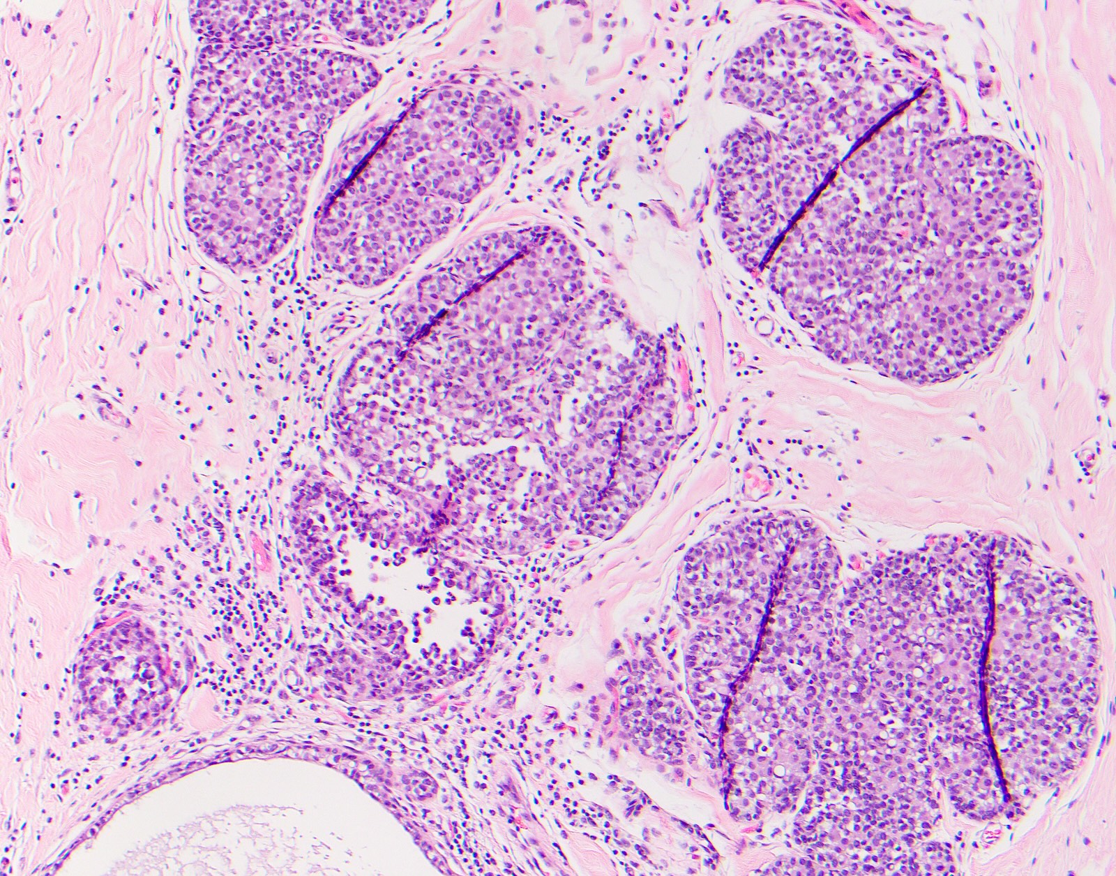
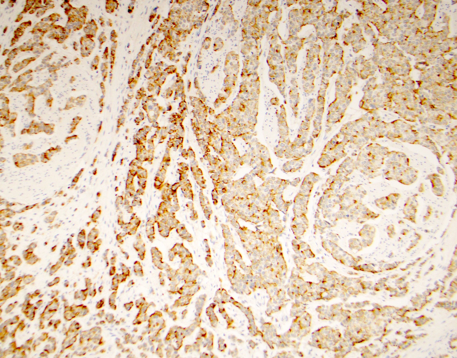
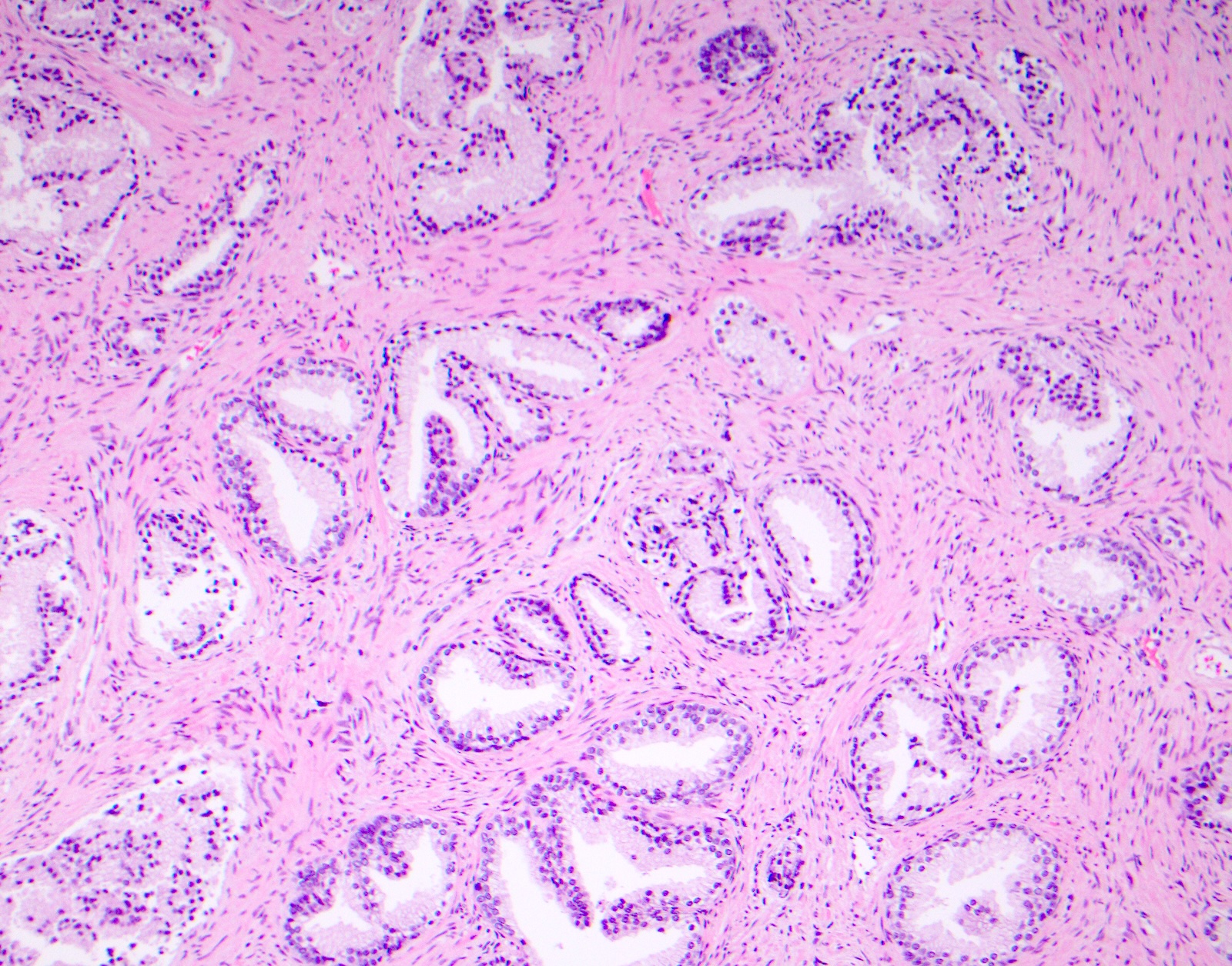
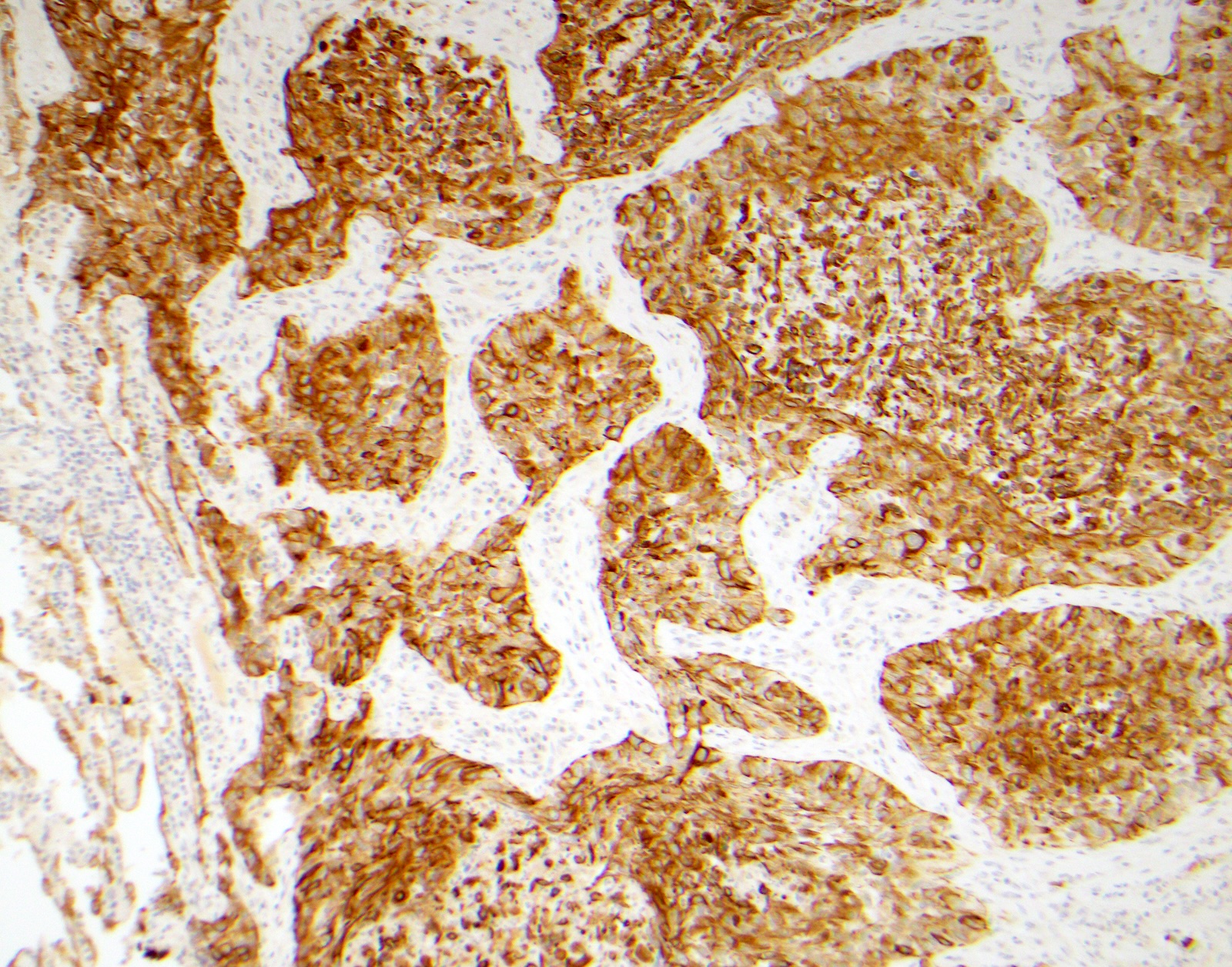
Microscopic (histologic) images
Contributed by Surekha Bantumilli, M.D. and Dimitri G. Trembath, M.D., Ph.D.
Positive staining - normal
- Prostate basal cells, skin (J Exp Clin Cancer Res 2003;22:441)
- Thyroid solid cell nests (Am J Surg Pathol 2006;30:994)
- Biliary tracts of liver (large, septal, interlobular bile ducts and bile ductules) (Mod Pathol 2002;15:1181)
Positive staining - disease
- Demonstrates the epithelial origin of amyloid deposits in dermal papillae in macular and lichenoid amyloidosis (Actas Dermosifiliogr 2013;104:99)
- Helps to visualize colloid bodies and diagnose lichen planopilaris (Am J Dermatopathol 2016;38:353)
- Breast ductal hyperplasia and lobular intraductal neoplasia (J Histochem Cytochem 2003;51:1527, Am J Surg Pathol 1999;23:1048)
- Placental site nodules (Pathology 1999;31:328)
- Prostatic basal cell hyperplasia (Hum Pathol 2003;34:462)
- Thymoma (high grade) (Rom J Morphol Embryol 1999;45:153)
- Identification of the basal cell layer in prostate tissue in the determination of carcinoma
- Squamous cell carcinoma (100%) with cytoplasmic staining (Diagn Cytopathol 2008;36:20)
- Cholangiocarcinoma, cytoplasmic and membranous staining (Mod Pathol 2002;15:1181)
- Diagnostic tool for differentiating between atypical squamous cell carcinoma and atypical fibroxanthoma (Arch Pathol Lab Med 2001;125:799)
- Diffuse staining in both intraductal and invasive urothelial cancer (Am J Surg Pathol 2022;46:454)
- Urachal adenocarcinoma (60%) (Cancers (Basel) 2018;10:108)
- Clear cell adenocarcinoma of urethra (Int J Surg Oncol 2015;2015:790235)
- Squamous cell carcinoma and basaloid carcinoma in lung
- Distinguishes spindle cell squamous cell carcinoma (positive staining) from histologic mimickers like atypical fibroxanthoma (AFX), spindle cell melanoma, scar and leiomyosarcoma (Am J Dermatopathol 2008;30:228, Arch Pathol Lab Med 2001;125:799)
- Stains the epithelial component in primary epithelial myoepithelial carcinoma of lung (Case Rep Pathol 2012;2012:319434)
- Primary cutaneous extramammary Paget disease (Case Rep Oncol 2021;14:430)
- Collecting duct carcinoma (Zhonghua Zhong Liu Za Zhi 2001;23:162)
- Nasopharyngeal carcinoma and thymoma (J Cancer 2022;13:1713)
- Holocrine poroma (100%) (Am J Dermatopathol 2018;40:401)
- Cutaneous squamous and adnexal tumor (Actas Dermosifiliogr 2013;104:99)
- Squamoid component of high grade serous carcinoma of ovary (50%) and squamous differentiation in endometrial carcinoma (100%) (Am J Surg Pathol 2023;47:967)
- Cutaneous carcinosarcoma of hand (carcinoma component) (Dermatol Online J 2019;25:13030)
- Thyroid papillary carcinoma (Exp Mol Pathol 2007;82:91)
- Paratesticular serous papillary adenocarcinoma (Int J Surg Pathol 2011;19:692)
- Pagetoid Bowen disease (pagetoid SCIS) (Ann Dermatol 2016;28:497)
- Thyroid carcinoma showing thymus-like differentiation (CASTLE) tumor (Am J Surg Pathol 2006;30:994)
- Ovary (Int J Gynecol Pathol 2001;20:155)
- Squamous cell carcinoma (classic and basaloid) (Hum Pathol 1998;29:609)
- Breast metaplastic carcinoma, clear cell carcinoma of gynecologic tract (Int J Gynecol Pathol 2001;20:252)
- Endocervical and endometrial carcinoma (Int J Gynecol Pathol 2002;21:11)
Negative staining
- Prostatic adenocarcinoma, usual type
- Benign mimickers of prostate carcinoma, including atrophy (23%), atypical adenomatous hyperplasia (AAH) (50%), nephrogenic adenoma (75%) and mesonephric hyperplasia (66%) (Ann Diagn Pathol 2013;17:41, Semin Diagn Pathol 2005;22:88)
- Negative staining in neuroendocrine proliferations of lung (Histopathology 2003;42:156)
- No reactivity with cells derived from simple epithelia, mesenchymal tumors, lymphomas, melanomas, neural tumors and neuroendocrine tumors
- Clear cell papillary renal cell carcinoma (Pathol Oncol Res 2018;24:447, Pathology 2017;49:10)
- Follicular thyroid carcinoma and hepatocellular carcinoma (J Cancer 2022;13:1713)
- Endometrial carcinoma (38.1%) (J Cancer 2022;13:1713)
- Clear cell adenocarcinoma of urinary tract (Hum Pathol 1998;29:1451)
- Lymphoepithelioma-like carcinoma (LELC) of ureter (Ann Diagn Pathol 2010;14:209)
- Mucinous tubular and spindle cell carcinoma (MTSCC) (Diagn Cytopathol 2010;38:51)
- Paget disease of vulva (Ann Dermatol 2016;28:497)
- Renal clear cell carcinoma (Int J Gynecol Pathol 2001;20:155)
- Prostatic secretory and stromal cells
- Adenocarcinoma (40%) (Diagn Cytopathol 2008;36:20)
- Colorectal adenocarcinoma (10%) (Cancers (Basel) 2018;10:108)
Pitfalls
- Prostate: negative staining of CK34βE12 in some glands is not definitive evidence of malignancy because benign glands may show discontinuous staining (Iran J Pathol 2020;15:232)
- Prolonged formalin fixation has been shown to have a negative effect on detection of basal cell specific keratins, giving rise to false negative staining (J Clin Pathol 2003;56:892, Mod Pathol 1999;12:472)
- Prostatic ductal adenocarcinoma, ductal type may show focally positive basal cell staining (J Clin Pathol 2003;56:892)
- Focal staining in rhabdomyosarcoma: pitfall in differentiating from carcinoma (J Cutan Pathol 2014;41:588)
Sample pathology report
- Prostate, core biopsy:
- Benign prostatic hyperplasia, no evidence of malignancy (see comment)
- Comment: Immunohistochemical stain for CK34βE12 (HMWK) highlights the basal cells in all the cores and confirms the diagnosis.
Additional references
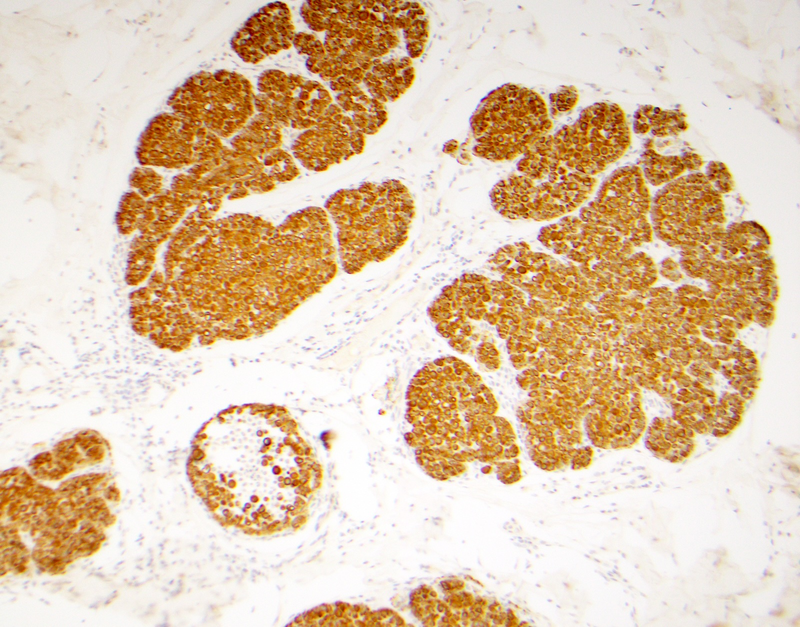
Practice question #1
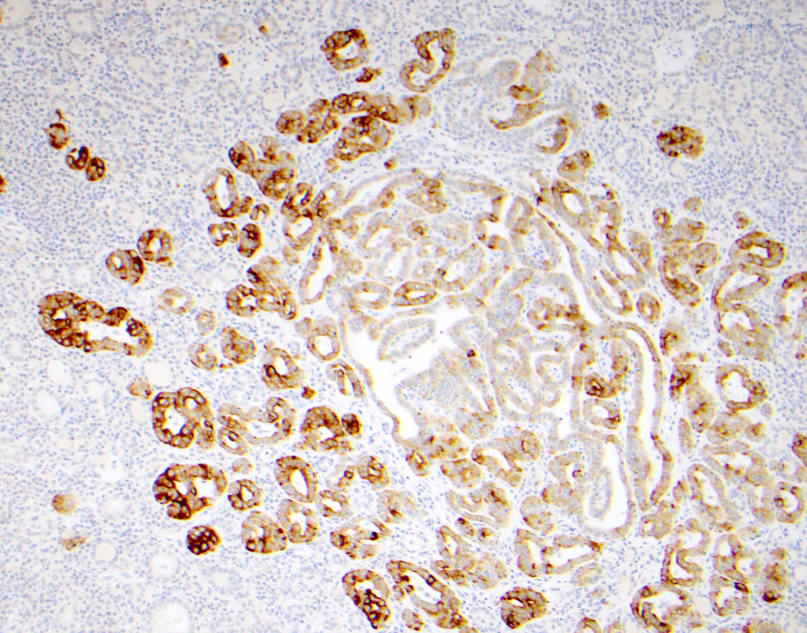
A 65 year old man presents with elevated prostate specific antigen (PSA) and undergoes a prostate biopsy, stained with high molecular weight cytokeratin (HMWCK) (shown above). What is the most likely interpretation of this staining pattern?
- Benign prostate tissue
- Benign seminal vesicle
- High grade prostatic intraepithelial neoplasia
- Prostatic adenocarcinoma
- Urothelial carcinoma
Practice answer #1
A. Benign prostate tissue. The basal layer of benign prostate glands will stain with high molecular weight cytokeratin. Answer D is incorrect because staining will be lost on prostatic adenocarcinoma. Answer C is incorrect because high molecular weight cytokeratin staining can be present in high grade prostatic intraepithelial neoplasia but is not diagnostic by itself for this entity. Answers B and E are incorrect because the glandular appearance outlined by the high molecular weight cytokeratin staining is not consistent with either seminal vesicle or urothelial carcinoma.
Comment Here
Reference: Cytokeratin 34 beta E12
Comment Here
Reference: Cytokeratin 34 beta E12