Thyroid & parathyroid

Other common thyroid carcinomas

Follicular thyroid carcinoma


Editorial Board Member: Andrey Bychkov, M.D., Ph.D.
Shuanzeng (Sam) Wei, M.D., Ph.D.

Last author update: 1 August 2017
Last staff update: 30 September 2025 (update in progress)

Copyright: 2003-2025, PathologyOutlines.com, Inc.

PubMed Search: (Follicular carcinoma [title]) thyroid Review[ptyp]

Shuanzeng (Sam) Wei, M.D., Ph.D.
Page views in 2024: 62,387
Page views in 2025 to date: 48,445
Cite this page: Wei S. Follicular thyroid carcinoma. PathologyOutlines.com website. https://www.pathologyoutlines.com/topic/thyroidfollicular.html. Accessed October 3rd, 2025.
Definition / general
  • Thyroid carcinoma with follicular differentiation but no papillary nuclear features (Hürthle cell (oncocytic) carcinoma is discussed separately)
  • Comprises 6 - 10% of thyroid carcinomas
  • Insufficient dietary iodine is a risk factor
  • Usually solitary "cold" nodule on radionuclide scan
  • Extensive sampling of capsule is recommended (Am J Surg Pathol 1992;16:392)
  • Three types (Lloyd: WHO Classification of Tumours of Endocrine Organs, 2017):
    • Minimally invasive follicular carcinoma
      • With capsular invasion only
    • Encapsulated angioinvasive:
      • Tumors with limited vascular invasion (< 4) have a better prognosis than those with extensive vascular invasion
    • Widely invasive:
      • Extensive invasion of thyroid and extrathyroidal soft tissue
  • Two types (ARP: Tumors of the Thyroid and Parathyroid Glands, 2016):
    • Minimally invasive follicular carcinoma
      • With capsular invasion (not obvious, need to search)
      • With limited (fewer than 4 vessels) vascular invasion
      • With extensive (4+ vessels) vascular
    • Widely invasive
Essential features
  • Follicular lesion with capsular or vascular invasion but without papillary nuclear features
Epidemiology
  • 75% women
  • Older age than papillary carcinoma, peak age: 40 - 60
  • Rarely in children
Diagrams / tables

Images hosted on other servers:
Missing Image

Schematic drawing for capsular invasion

Missing Image

Schematic drawing for vascular invasion

Etiology
  • Iodine deficiency and irradiation exposure, older age
Clinical features
  • Usually "cold" on radionuclide scan
  • May arise from preexisting adenoma
  • Does not metastasize through lymphatics but does spread to lungs, liver, bone, brain via blood vessels
  • Less than 5% with ipsilateral lymphadenopathy
  • Up to 69% distant metastasis: lung and bone (common in widely invasive carcinoma)
Radiology description
  • Ultrasound: solid hypoechoic nodule with a peripheral halo (fibrous capsule); irregular or poorly defined margins may be suggestive of carcinoma
Prognostic factors
  • Minimally invasive follicular carcinoma: very low long term mortality (Cancer 2001;91:505)
  • Widely invasive: 50% long term mortality
  • Poor prognostic factors: tumor size greater than 4 cm, distant metastases, age greater than 45 years, large size, extensive vascular invasion, extrathyroidal extension (World J Surg 2007;31:1417)
Case reports
Treatment
  • T3 / T4 to suppress endogenous TSH, thyroidectomy and radioactive iodine
  • No nodal dissection is needed
Gross description
  • Tan to brown solid cut surface, can have cystic changes and hemorrhage
  • Minimally invasive: usually single encapsulated nodule, with thickened and irregular capsule
  • Widely invasive: extensive permeation of capsule or no capsule
  • All capsule with adjacent tissue needs to be submitted for histological evaluation
Gross images

Contributed by Andrey Bychkov, M.D., Ph.D., Wafaey Fahmy Badawy Mohamed, M.D., Mark R. Wick, M.D. and AFIP

Minimal capsular invasion

Focal invasion

47 year old woman with follicular thyroid carcinoma and multinodular goiter

Various images


Minimally invasive follicular carcinoma

Indistinguishable from adenoma



Images hosted on other servers:

Apparently encapsulated

Widely invasive

Fig A: multiple white tan
nodules in thyroid tumor
Fig B: scalp metastases
show erosion through skull

Microscopic (histologic) description
  • Trabecular or solid pattern of follicles (small, normal sized or large - microfollicular, normofollicular or macrofollicular respectively)
  • No nuclear features of papillary thyroid carcinoma
  • Invasion of adjacent thyroid parenchyma, capsule (complete penetration) or blood vessels (in or beyond the capsule)
  • Capsular invasion: capsule is typically thickened and irregular, needs penetration through the capsule (full thickness), may have reactive pseudocapsule around the invasion edge, exclude FNA site
  • Vascular invasion: vessel within or beyond capsule, tumor covered with endothelium, attached to the wall or with thrombus
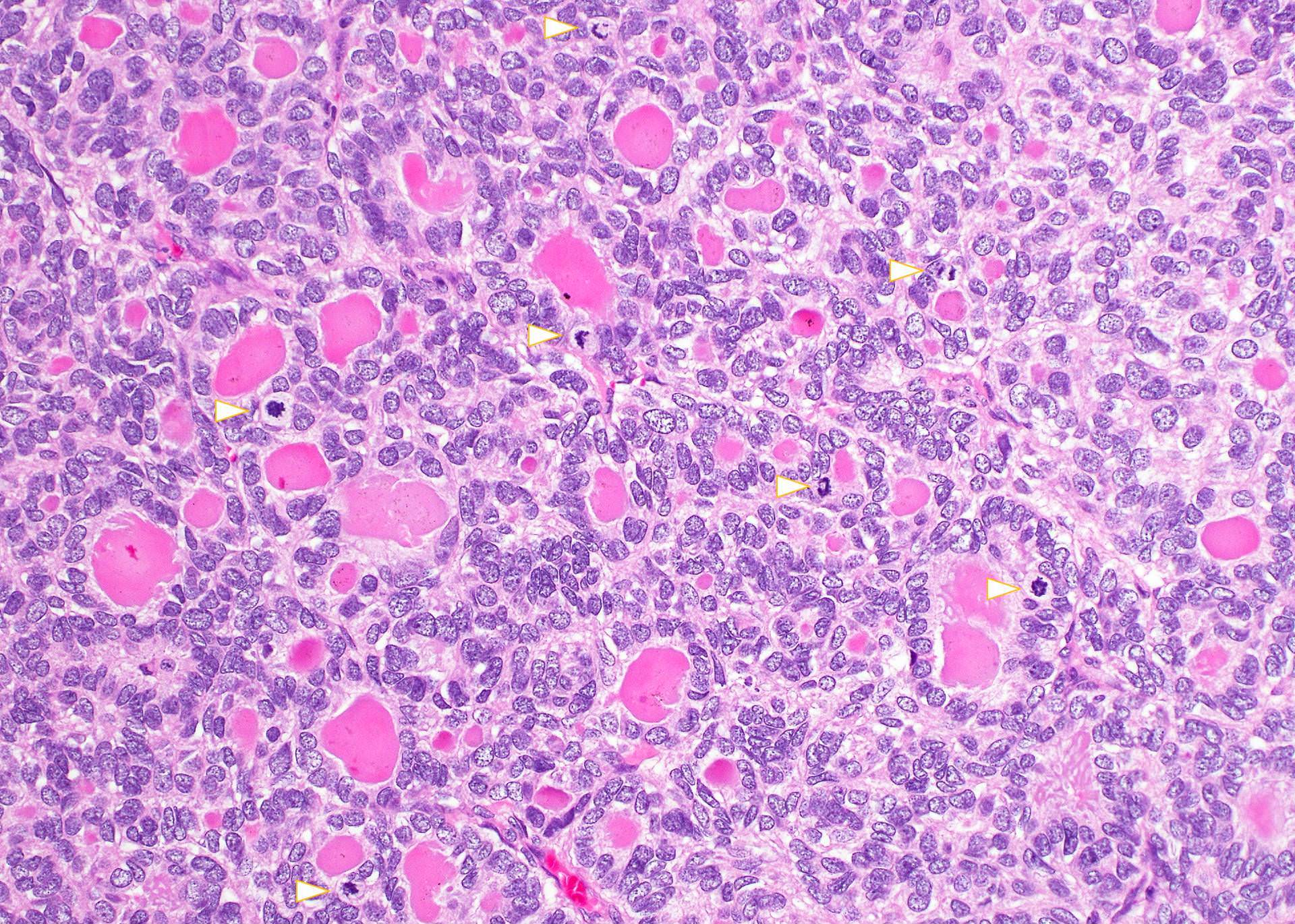
  • May have nuclear atypia, focal spindled areas, mitotic figures (< 3/10HPF)
  • No necrosis
  • Usually no squamous metaplasia, no psammoma bodies, no / rare lymphatic invasion
  • Metastatic follicular carcinoma can mimic normal thyroid tissue
Microscopic (histologic) images

Contributed by Andrey Bychkov, M.D., Ph.D., Mark R. Wick, M.D. and AFIP

False angioinvasion

Capsular vessel with tumor

Vascular invasion

Tumor in vascular space

Transcapsular penetration

Invasion through tumor capsule


Propagation of tumor embolus

Extensive necrosis

Tumor necrosis

Unusual brisk mitotic activity

TTF1: bone metastasis


Moderate pleomorphism

Mucin production

Capsular invasion

Metastases to iliac bone

Thick, irregular capsule



Images hosted on other servers:

Tumor, normal parenchyma

Insular type

Foci of tumor
beyond the border

Van Gieson stain

Penetration of former capsule

Not capsular invasion

Cytology description
  • Microfollicules (6 - 12 nuclei) with nuclear enlargement, overlapping and crowding
  • No or scant colloid
  • Nuclear atypia is not specific for malignancy
  • Cannot distinguish between follicular adenoma and carcinoma by fine needle aspiration since there needs to be evidence of capsular invasion, vascular invasion or invasion of adjacent parenchyma
Cytology images

Contributed by Ayana Suzuki, C.T., Xiaoyin "Sara" Jiang, M.D. and Jose Mellado, M.D.

Microfollicles

Follicular carcinoma

Follicular carcinoma, microfollicules with nuclear enlargement

Positive stains
Electron microscopy images

AFIP images

Follicular cells converge toward central lumen

Molecular / cytogenetics description
  • Activated PI3K / AKT or RAS of the receptor tyrosine kinase signaling pathway
  • NRAS and HRAS mutations in 49%, PAX8 and PPAR gamma rearrangements in 36% (J Clin Endocrinol Metab 2003;88:2318)
  • PI3CA and PTEN mutations in 5 - 10%
  • Tumors with rearrangement tend to be overtly invasive versus minimally invasive without this rearrangement (Am J Surg Pathol 2002;26:1016)
  • Widely invasive carcinomas have higher frequency of allelic loss than minimally invasive carcinomas (Hum Pathol 2003;34:375)
Molecular / cytogenetics images

Contributed by LeicaBiosystems, Amsterdam

PPARG (3p25)

Videos

Thyroid carcinoma: gross and micro

Histopathology thyroid: follicular carcinoma

Differential diagnosis
Practice question #1
    Which statement for thyroid follicular carcinoma is false?

  1. Cannot have necrosis or increased mitotic figures (≥ 3/10 HPF)
  2. Commonly metastases to bone, lung, not lymph node
  3. Detecting RAS mutations and PPAX8-PPAR gamma rearrangements can be used to distinguish follicular carcinoma from adenoma
  4. Nuclear atypia does not indicate malignancy
  5. Risk factors include iodine deficiency and irradiation exposure
Practice answer #1
C. Detecting RAS mutations and PAX8-PPAR gamma rearrangements can be used to distinguish follicular carcinoma from adenoma. RAS mutations and PAX8-PPAR gamma rearrangements can be found in follicular adenoma.

Comment Here

Reference: Follicular
Back to top
Image 01 Image 02