Table of Contents
Definition / general | Essential features | Terminology | ICD coding | Epidemiology | Sites | Pathophysiology | Etiology | Clinical features | Diagnosis | Radiology description | Radiology images | Prognostic factors | Case reports | Treatment | Gross description | Gross images | Microscopic (histologic) description | Microscopic (histologic) images | Virtual slides | Cytology description | Positive stains | Molecular / cytogenetics description | Sample pathology report | Differential diagnosis | Additional references | Practice question #1 | Practice answer #1 | Practice question #2 | Practice answer #2Cite this page: Muller KE. Radial scar / complex sclerosing lesion. PathologyOutlines.com website. https://www.pathologyoutlines.com/topic/breastradialscar.html. Accessed October 3rd, 2025.
Definition / general
- Benign breast lesion comprised of a central fibroelastotic stromal core with radiating ducts and lobules with varying degrees of proliferative and cystic changes arranged in a stellate configuration
Essential features
- Benign breast lesion comprised of a central fibroelastotic stromal core with radiating ducts and lobules with varying degrees of proliferative and cystic changes arranged in a stellate configuration
- May simulate invasive carcinoma mammographically, clinically, grossly and microscopically
- Atypia or malignancy may arise within or in association with radial scars / complex sclerosing lesions
- Treatment ranges from observation with clinical and radiologic follow up to surgical excision
Terminology
- Radial sclerosing lesion, complex sclerosing lesion (> 1.0 cm)
ICD coding
Epidemiology
- 40 - 70 years
- Common; incidence 0.03 - 0.09% in screening populations (J Clin Pathol 2003;56:721)
- Similar frequency in benign (28%) and cancer (26%) specimens (Histopathology 1985;9:287, Hum Pathol 1984;15:475)
- Frequently multicentric and bilateral (J Pathol 1985;147:23, Ann Diagn Pathol 2015;19:24, Semin Diagn Pathol 2010;27:5, Histopathology 1985;9:287)
Sites
- Breast parenchyma
Pathophysiology
- Pathogenesis uncertain
- Stromal-epithelial interactions and increased expression for several factors involved in formation of vascular stroma may play a role (Hum Pathol 2002;33:29)
Etiology
- Unknown
- Scar is a misnomer; not related to prior trauma or surgery
Clinical features
- Most often incidental microscopic findings in breast tissue removed for other targets / abnormalities; however, some palpable (Clin Radiol 1993;48:319)
Diagnosis
- Imaging: ultrasound, mammogram, MRI
- Invasive procedure: core needle biopsy, fine needle aspiration (not recommended)
Radiology description
- Spiculated mass, architectural distortion, may be indistinguishable from invasive carcinoma (J Med Imaging Radiat Oncol 2010;54:415, Ochsner J 2015;15:219)
- Radiolucent or dense center
- Microcalcifications may be present
- Irregular hypoechoic mass with ill defined borders and posterior acoustic shadowing on ultrasound (Ultrasonography 2014;33:58)
- MRI enhancement characteristics variable (Breast J 2005;11:23, Breast J 2019;25:393, Can Assoc Radiol J 2020 Jun 10 [Epub ahead of print])
Radiology images
Prognostic factors
- Associated risk with invasive breast cancer debated:
- Not found to be independently associated with increased risk of breast cancer (Cancer 2006;106:1453, Breast Cancer Res Treat 2008;108:167, Cancer Causes Control 2010;21:821, Eur J Surg Oncol 2011;37:709)
- Independently associated with a twofold increased risk of breast cancer, which may increase with larger and multiple radial scars (N Engl J Med 1999;340:430)
- Rare association with adenosquamous carcinoma (Histopathology 2000;36:203, Mod Pathol 2003;16:893)
- Size greater than or less than 10 mm does not influence prognosis (comparing radial scar and complex sclerosing lesion) (Eur J Surg Oncol 2011;37:709)
Case reports
- 32 year old woman with radial sclerosing lesion mimicking invasive carcinoma (Case Rep Oncol 2012;5:99)
- 40 year old woman with secretory carcinoma arising in a radial scar (Indian J Pathol Microbiol 2009;52:83)
- 45 year old with bilateral, multicentric adenosquamous carcinomas arising within radial scars / complex sclerosing lesions (Pathology 2014;46:85)
- 57 year old woman with DCIS arising in a radial scar (Breast Cancer 2006;13:107)
Treatment
- Ranges from excision to clinical observation due to variation in reported upgrade rates to malignancy at excision
- Upgrade rates for radial scar without atypia: 0 - 16%; mean: 7% (Mod Pathol 2016;29:1471)
- May not warrant routine surgical excision given low upgrade rates if multidisciplinary approach taken including radiologic-pathologic correlation, clinical and imaging follow up (Breast Cancer Res Treat 2018;170:313, Breast J 2018;24:133, Breast 2016;30:201, Am J Surg Pathol 2015;39:779, Surg Pathol Clin 2018;11:1, Springerplus 2016;5:398)
- Incidental and small (< 5 mm) radial scars less likely to be upgraded on excision (Arch Pathol Lab Med 2015;139:1137)
- If atypia is present, manage according to standards for the concurrent high risk lesion (J Clin Pathol 2019;72:800)
- Vacuum assisted large core biopsy may be reliable for excluding malignancy without surgery (Histopathology 2019;75:900, Breast Cancer Res Treat 2019;174:165)
Gross description
- Stellate, rubbery to firm mass with retracted center; resembles invasive ductal carcinoma
- Usually 1 cm or less; complex sclerosing lesions > 1 cm
- May be firm, irregular, with yellow streaks and flecks (due to elastotic stroma)
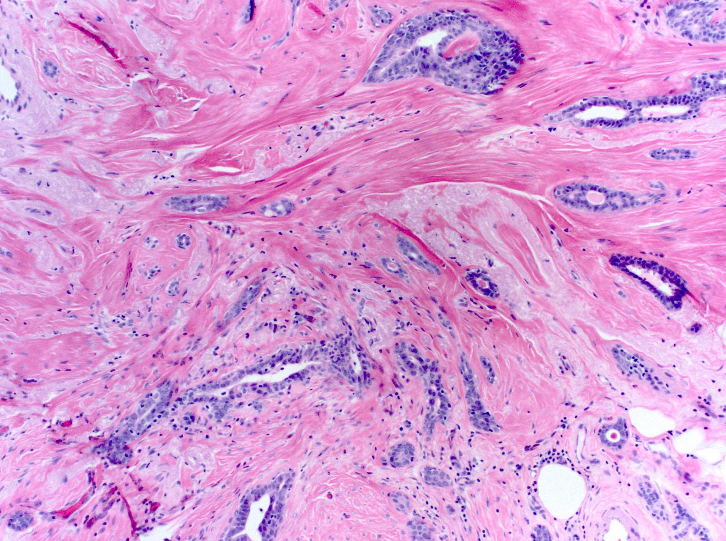
Microscopic (histologic) description
- Low power stellate configuration
- Central sclerotic zone composed of fibrosis and elastosis with ducts and lobules radiating outward between bands of sclerotic tissue
- Central core frequently contains small entrapped obliterated ductules that may mimic invasive carcinoma; squamous metaplasia may occur in central nidus
- Variable amounts of usual ductal hyperplasia (may be florid with necrosis), sclerosing adenosis, apocrine metaplasia and cysts
- Stroma tends to be more cellular in early lesions and more collagenized and sclerotic with abundant elastin in older lesions
- Atypical hyperplasia (ADH, ALH) observed in 21 - 51% (Breast Cancer Res Treat 2008;107:371, Cancer 2003;97:345)
- In situ or invasive carcinoma may arise within or in association with radial scar / complex sclerosing lesions
- Complex sclerosing lesions are larger (typically > 1 cm) and show features of radial scar that combine and converge with intermingling areas of sclerosis, entrapped and distorted glands and fibrocystic changes; however, may not have the well defined configuration of radial scar
Microscopic (histologic) images
Contributed by Kristen E. Muller, D.O.
Contributed by Emily S. Reisenbichler, M.D.
Cytology description
- FNA not reliable for diagnosis; may show usual ductal hyperplasia, apocrine metaplasia and spindle shaped stromal cells (Diagn Cytopathol 1997;16:537)
Positive stains
- Myoepithelial stains: p63, calponin, CD10, smooth muscle myosin heavy chain, smooth muscle actin, CK5
- Central part of the lesion may show attenuated or absent myoepithelium
- Suggested panel: smooth muscle myosin heavy chain, calponin and p63 (Am J Surg Pathol 2010;34:896)
- Elastic stains
Molecular / cytogenetics description
- Focally increased numbers of blood vessels and expression of mRNA for collagen type 1, total fibronectin, ED-A+ fibronectin, thrombospondin 1, VPF / VEGF and KDR (Hum Pathol 2002;33:29)
- Allelic imbalance chromosome 16q and 8p; some areas may be clonal (Hum Pathol 2002;33:715)
Sample pathology report
- Right breast, needle core biopsy:
- Radial scar (see comment)
- Microcalcifications: associated with radial scar
- Comment: The radial scar measures 4 mm and appears adequately sampled and completely excised in this biopsy. No atypia or malignancy is identified. Clinical and radiologic correlation is recommended.
- Right breast, needle core biopsy:
- Complex sclerosing lesion (see comment)
- Microcalcifications: not identified
- Comment: The biopsy shows several tissue cores containing a complex sclerosing lesion comprised of benign glands with varying degrees of fibrocystic changes (usual ductal hyperplasia, cysts and apocrine metaplasia) radiating around a central fibroelastotic core. No atypia or malignancy is identified. The largest contiguous microscopic measurement in a single tissue core is 7 mm. Clinical and radiologic correlation is recommended to ensure adequate sampling of the targeted lesion.
Differential diagnosis
- Invasive ductal carcinoma:
- Lacks myoepithelial cells
- Infiltration into surrounding fat / breast parenchyma may be a clue
- Tumor cells show cytologic atypia
- Tubular carcinoma:
- Glands show distinctive angulated shapes
- Lacks myoepithelial cells
- Infiltration into surrounding fat / breast parenchyma may be a clue
- Surrounding usual ductal hyperplasia, apocrine metaplasia and cysts commonly seen at the periphery of radial scars typically absent
- Low grade adenosquamous carcinoma:
- Irregular glands with varying degrees of squamous differentiation
- Infiltrative pattern; if arising within a radial scar / complex sclerosing lesion, the malignant cells infiltrate beyond the sclerosing lesion
- Lymphoid aggregates within and at periphery of the lesion may be a clue
- Variable expression of myoepithelial and cytokeratin markers
- Negative for ER, PR, HER2
Additional references
Practice question #1
Which of the following is true regarding the lesion pictured?
- It is frequently associated with concurrent invasive cancer
- All the glands lack myoepithelial cells and invade into adipose tissue
- Imaging features include irregular spiculated mass with dense center frequently mimicking invasive carcinoma
- There is a known association with malignant phyllodes tumors
Practice answer #1
C. This is a radial scar. Imaging features include irregular spiculated mass with dense center frequently mimicking invasive carcinoma
Comment Here
Reference: Radial scar
Comment Here
Reference: Radial scar
Practice question #2
Which statement is true regarding the treatment and prognosis of radial scars and complex sclerosing lesions?
- They require excision since malignancy is found in 50 - 65% of excision specimens
- Management options include surgical excision and observation without surgery
- They confer a fourfold increased risk for developing breast cancer
- Small (< 5 mm) radial scars are more likely to be upgraded on excision
Practice answer #2
B. Management options include surgical excision and observation without surgery
Comment Here
Reference: Radial scar
Comment Here
Reference: Radial scar