Uterus

General

Anatomy & histology


Editorial Board Member: Jennifer A. Bennett, M.D.
Editor-in-Chief: Debra L. Zynger, M.D.
Kyle Devins, M.D.
Lauren Schwartz, M.D.

Last author update: 14 September 2020
Last staff update: 20 August 2025 (update in progress)

Copyright: 2002-2025, PathologyOutlines.com, Inc.

PubMed Search: Anatomy[TI] uterus[TI]

Kyle Devins, M.D.
Lauren Schwartz, M.D.
Page views in 2024: 120,456
Page views in 2025 to date: 85,149
Cite this page: Kyle D, Schwartz L. Anatomy & histology. PathologyOutlines.com website. https://www.pathologyoutlines.com/topic/uterusnormal.html. Accessed October 6th, 2025.
Definition / general
  • Pear shaped organ which serves as physiologic site of implantation for fertilized egg and undergoes changes to support subsequent placental attachment and embryonic / fetal development
Essential features
  • Mucosal component (endometrium) is hormonally responsive and undergoes physiologic and morphologic changes throughout the menstrual cycle
Terminology
  • Anatomic divisions
    • Uterine corpus: main portion of the uterus comprising the upper two - thirds, which houses the endometrial lined cavity
    • Uterine cervix: lower one - third of uterus, which attaches to vaginal canal; see Histology
    • Fundus: domed superior portion of uterus located superior to points of fallopian tube insertion
    • Cornua: lateral portions of uterine corpus; sites of fallopian tube insertion
    • Isthmus (lower uterine segment): inferior portion of corpus, which connects to the cervix
  • Histologic divisions
    • Endometrium: mucosal layer lining the uterine cavity composed of endometrial glands and specialized stroma; blood supplied by spiral arteries
      • Stratum basalis: deep layer of endometrium, which is minimally hormone responsive and serves to replenish the stratum functionalis following menses
      • Stratum functionalis: hormone responsive superficial layer of endometrium; undergoes functional and morphologic changes throughout menstrual cycle; shed during menses
    • Myometrium: structural wall of uterus composed primarily of smooth muscle
    • Serosa: thin, outermost layer of uterus consisting of loose connective tissue and mesothelium
Physiology
  • In infants and children, the endometrium is functionally inactive
  • Menarche:
  • In gestational aged women, the endometrium undergoes hormonally driven changes throughout the menstrual cycle (Endotext: The Normal Menstrual Cycle and the Control of Ovulation [Accessed 11 June 2020])
    • Menstrual phase (days 0 - 5):
      • Estrogen and progestin levels fall in the absence of implantation of a fertilized egg, resulting in breakdown of endometrial stroma
      • Stratum functionalis is shed; spiral arteries constrict to minimize blood loss
    • Proliferative phase (days 6 - 14):
      • Stratum functionalis is regenerated by cells from stratum basalis
      • Primarily driven by increasing estrogen levels
      • Corresponds to follicular phase of cycle in ovary
      • Ends at approximately day 14 when ovulation occurs
    • Secretory phase (days 15 - 28):
      • Stratum functionalis undergoes changes to support implantation in the event of fertilization
      • Glands become convoluted and endometrial cells increase glycogen stores
      • Primarily driven by progestin
      • Corresponds to luteal phase of cycle in ovary
  • Following menopause, the endometrium becomes inactive and may eventually undergo atrophy
  • Pregnancy changes
    • Endometrium retains secretory phenotype and stroma becomes decidualized in response to progestins (detailed in Microscopic description section)
    • Myometrium undergoes mechanoadaptation to allow distension and accommodation of developing fetus (J Cell Mol Med 2008;12:1360)
Diagrams / tables

Contributed by Kyle Devins, M.D.
Average 28 day cycle

Average 28 day cycle

Gross description
  • Pear shaped, smooth external surface
  • Anatomic position within the pelvic cavity between the urinary bladder (anterior) and rectum (posterior)
  • Anterior portion can be identified by a higher peritoneal reflection, due to location of the bladder in vivo (J Clin Pathol 1993;46:388)
  • Hysterectomy specimens are often opened in the coronal plane by inserting a probe into the external cervical os and cutting along the probe to reveal the endometrial cavity
  • Endometrial cavity is shaped like an inverted triangle when viewed in the coronal plane
Gross images

Contributed by Kyle Devins, M.D.
Uterus

Uterus

Bivalved uterus

Bivalved uterus

Microscopic (histologic) description
  • Endometrium (Mod Pathol 2000;13:285)
    • Proliferative phase
      • Cellular blue appearance at low power
      • Round to tubular glands
      • Even, regular spacing between glands
      • Pseudostratified columnar cells in glands
      • Numerous mitotic figures in glands and stroma
    • Interval phase (Day 16)
      • Partially developed subnuclear vacuoles
      • Mitoses present, but not as numerous as in proliferative phase
      • Less than 50% of cells in a gland with continuous and well developed subnuclear vacuoles
    • Secretory phase
      • Relatively pink appearance at low power
      • Convoluted, irregularly shaped glands
      • Single layer of columnar or cuboidal cells in glands
      • Early secretory phase (Day 17 - 19)
        • Day 17: Continuous and well developed subnuclear vacuoles in > 50% of a gland, rare mitoses
        • Day 18: Sub- and supranuclear vacuoles (piano keys) with nuclei in the center of cell
        • Day 19: Nuclei at base of cell, supranuclear vacuoles, start of luminal secretions
      • Mid secretory phase (Day 20 - 22)
        • Day 20: Maximal intraluminal secretions, stromal cells with hyperchromatic nuclei and high N:C ratio
        • Day 21: Increased stromal edema
        • Day 22: Peak stromal edema
      • Late secretory phase (Day 23 - 27)
        • Day 23: Predecidua surrounds spiral arterioles
        • Day 24: Predecidua bridges multiple vessels
        • Day 25: Thin band of predecidua beneath endometrial surface
        • Day 26: Thick band of predecidua beneath surface
        • Day 27: Abundant predecidua expanding downward from endometrial surface, increased number of stromal granulocytes
    • Menstrual phase
      • Endometrial stromal breakdown: dense round aggregates of stromal cells admixed with inflammatory cells and blood
      • Papillary syncytial metaplasia is common, thought to be a reparative response
    • Gestational changes
      • Decidual change: stroma gains abundant eosinophilic cytoplasm, appears polygonal with distinct cell borders
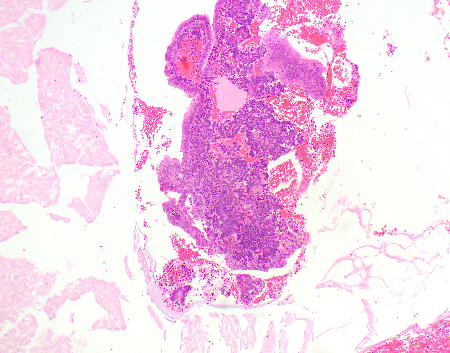
      • Arias-Stella reaction in glandular cells (Am J Case Rep 2012;13:271)
        • Nuclear enlargement and hyperchromasia
        • Abundant eosinophilic vacuolated cytoplasm
        • Hobnail appearance with cells protruding into glandular lumen
    • Atrophy
      • Common in postmenopausal women due to estrogen withdrawal
      • Glands composed of inactive low columnar to cuboidal cells
      • Glands often detached from stroma, forming hairpin structures
      • May have cystic change
      • Cystic atrophy is associated with postmenopausal tamoxifen for breast cancer (Am J Obstet Gynecol 1998;178:1145)
  • Myometrium
    • Short fascicles of smooth muscle
    • Large, thick walled blood vessels
  • See Abnormal uterine bleeding and Endometrial biopsy reporting benign / metaplasia
Microscopic (histologic) images

Contributed by Kyle Devins, M.D.
Endometrium Overview

Endometrium Overview

Proliferative endometrium

Proliferative endometrium

Proliferative phase, low power

Proliferative phase, low power

Secretory endometrium

Secretory endometrium

Subnuclear vacuoles

Subnuclear vacuoles

Stromal edema

Stromal edema


Intraluminal secretion

Intraluminal secretion

Late secretory

Late secretory

Spiral arteriole

Spiral arteriole

Secretory endometrium, day 26

Secretory endometrium, day 26

Endometrial stromal breakdown

Endometrial stromal breakdown

Stromal aggregates

Stromal aggregates


Arias-Stella reaction

Arias-Stella reaction

Atrophy

Atrophy

Atrophic gland

Atrophic gland

Cytology description
Cytology images
Positive stains
Videos

Histology of benign cycling endometrium

Practice question #1

    What phase endometrium is pictured in the image?

  1. Atrophy
  2. Menstrual phase
  3. Proliferative phase
  4. Secretory phase
Practice answer #1
D. Secretory phase. The endometrial glands are lined by a single layer of low columnar cells with pink cytoplasm and prominent glandular secretions. There is predecidual change in the stroma.

Comment Here

Reference: Anatomy & histology
Practice question #2

    The pictured endometrial sample was most likely obtained from which of the following patients?

  1. Gestational age woman during menses
  2. Postmenopausal woman
  3. Pregnant woman
  4. Prepubertal female
Practice answer #2
C. Pregnant woman. The image shows an example of gestational endometrium. There is decidual change in the stroma with abundant eosinophilic cytoplasm and polygonal cells with prominent cell borders. The glandular cells show Arias-Stella reaction.

Comment Here

Reference: Anatomy & histology
Back to top
Image 01 Image 02