Cervix

Premalignant / preinvasive lesions - H&E

Adenocarcinoma in situ


Editorial Board Member: Carlos Parra-Herran, M.D.
Editor-in-Chief: Debra L. Zynger, M.D.
Gulisa Turashvili, M.D., Ph.D.

Last author update: 31 January 2020
Last staff update: 10 May 2023

Copyright: 2003-2025, PathologyOutlines.com, Inc.

PubMed Search: Adenocarcinoma in situ[TI] cervix[TI] full text[sb]

Gulisa Turashvili, M.D., Ph.D.
Page views in 2024: 34,884
Page views in 2025 to date: 25,761
Cite this page: Turashvili G. Adenocarcinoma in situ. PathologyOutlines.com website. https://www.pathologyoutlines.com/topic/cervixais.html. Accessed October 3rd, 2025.
Definition / general
  • An intraepithelial lesion containing malignant appearing glandular epithelium that carries a significant risk of invasive adenocarcinoma if not treated
Essential features
  • Neoplastic glandular precursor for invasive endocervical adenocarcinoma
  • Variable histologic features based on adenocarcinoma in situ type
  • Most adenocarcinoma in situ types are associated with high risk human papillomavirus (HPV)
  • Negative p16 immunohistochemical staining may indicate a non HPV associated adenocarcinoma in situ type
Terminology
ICD coding
  • ICD-O: 8140/2 - adenocarcinoma in situ, NOS
  • ICD-10: D06.0 - carcinoma in situ of endocervix
  • ICD-11: 2E66.Y (XA7Z73) - other specified carcinoma in situ of cervix uteri (cervical canal)
Epidemiology
  • Uncommon (1% of cervical noninvasive lesions versus 99% high grade squamous intraepithelial lesion (HSIL) in the SEER registry)
  • Mean age 38 years, 10 - 15 years younger than invasive endocervical adenocarcinoma
  • Coexists with high grade squamous intraepithelial lesion in at least 50% of cases (Int J Gynecol Pathol 2002;21:314)
  • Declined incidence rates in young women (21 - 24 years of age) in US since introduction of HPV vaccine (Int J Cancer 2020;146:810)
Sites
  • At or near transformation zone of cervix
Pathophysiology
  • Arises from reserve cells with capacity to undergo columnar differentiation or from columnar epithelium (Int J Gynecol Pathol 2010;29:378)
  • An interval of approximately 13 years between the average age of presentation of AIS (39 years) and the average age of presentation of invasive adenocarcinoma (52 years) has been documented; this interval is shorter than the one seen in squamous cervical lesions (Gynecol Oncol 1999;75:55)
Etiology
Clinical features
Diagnosis
  • Cytologic or histologic examination
Prognostic factors
  • Excellent prognosis in most cases
  • After conization, positive endocervical margins increase risk of residual or recurrent in-situ disease (19.4% with positive margins versus 2.6% with negative margins) and subsequent diagnosis of invasive adenocarcinoma (5.2% with positive margins versus 0.1% with negative margins) (Am J Obstet Gynecol 2009;200:182.e1)
  • Rarely may involve endometrium or adnexa via pagetoid spread
Case reports
Treatment
  • Management after cytologic diagnosis of adenocarcinoma in situ
    • Referral to a qualified health care provider for medical follow up
    • Colposcopy with endocervical sampling in all women
    • Endometrial sampling in women aged ≥ 35 years or at risk for endometrial neoplasia (J Low Genit Tract Dis 2007;11:201)
  • Management after histologic diagnosis of adenocarcinoma in situ
    • Cold knife conization or hysterectomy
    • Most patients can be successfully treated with conization and close follow up by colposcopy, cytology and HPV testing, provided the endocervical margin is negative
  • Hysterectomy may be considered in women with positive endocervical margins or women not desirous of maintaining fertility
Clinical images

Images hosted on other servers:
Missing Image

Colposcopy

Gross description
  • Typically incidental without distinctive gross appearance
  • Rarely erythematous mucosa on colposcopy
  • May be multifocal
Microscopic (histologic) description
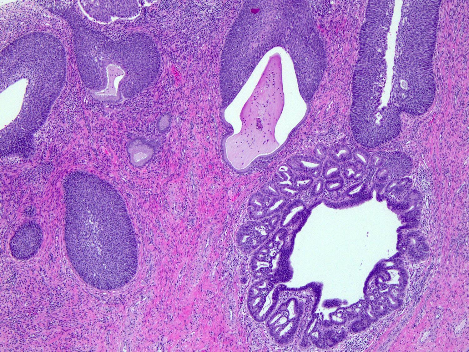
  • Replacement of normal epithelium on the endocervical surface and in pre-existing endocervical glands with preservation of the normal endocervical architecture (comparison with the uninvolved cervix is often useful)
  • Abrupt transition from normal to atypical epithelium from gland to gland and within individual glands
  • Skip lesions are often seen
  • Common partial gland involvement or surface epithelial involvement
  • No desmoplastic stromal reaction and minimal inflammatory infiltrate
  • Additional variable histologic features depending on type
    • HPV related
      • Usual (conventional) type
        • Rarely cribriform or papillary intraglandular growth patterns
        • Variable amounts of apical eosinophilic to mucinous cytoplasm
        • Enlarged, fusiform, hyperchromatic, pseudostratified nuclei with irregular, coarse chromatin and occasionally with prominent nucleoli
        • Frequent mitotic figures, often apical or “floating”
        • Frequent apoptotic bodies
        • Superficial forms show less nuclear enlargement and stratification with fewer apoptotic bodies and commonly occur in younger women (mean age 27 years)
      • Intestinal type
        • Commonly admixed with conventional subtype
        • Frequent goblet cells
        • Paneth and enteroendocrine cells may be present
        • Few mitotic figures and apoptotic bodies
        • Less commonly pancreatobiliary type epithelium
      • Tubal type
        • Apical eosinophilic cytoplasm and cilia
        • Variable cytologic atypia and mitotic figures
        • Important to rule out tubal metaplasia
      • Stratified mucin producing intraepithelial lesion (SMILE)
        • Variably pseudostratified epithelium
        • Polyhedral to columnar cells with eosinophilic to mucinous cytoplasm
        • Resembles HSIL on low power but the stratified neoplastic cells contain intracellular mucin in the form of discrete vacuoles or as cytoplasmic clearing throughout all cell layers
        • Can be an isolated finding or more often found in association with HSIL or conventional adenocarcinoma in situ (Am J Surg Pathol 2000;24:1414)
        • May be a form of adenosquamous carcinoma in situ
    • HPV independent
      • Gastric type (Am J Surg Pathol 2017;41:1023)
        • Columnar cells with pale foamy to mucinous cytoplasm and prominent cytoplasmic borders
        • Basally located nuclei
        • Intestinal differentiation often seen
        • Fewer mitotic figures and apoptotic bodies compared to HPV related adenocarcinoma in situ
Microscopic (histologic) images

Contributed by Gulisa Turashvili, M.D., Ph.D., Seema Khutti, M.D., Jijgee Munkhdelger, M.D., Ph.D. and Andrey Bychkov, M.D., Ph.D.
Missing Image Missing Image

AIS admixed with HSIL

Missing Image Missing Image

AIS, gastric type

Missing Image

p16 in SMILE

Missing Image

Mucicarmine in SMILE


Missing Image Missing Image Missing Image

SMILE

Missing Image

Glands with crowding and stratification

Missing Image

Abundant mitosis and apoptosis

Missing Image

AIS with adjacent uninvolved glands


Missing Image

Transition to AIS

AIS p16

High grade cervical
glandular intraepithelial
neoplasia

High power

Nuclear atypia

Virtual slides

Images hosted on other servers:

Stratified mucin production intraepithelial lesion (SMILE)

Cytology description
  • General features
    • Variable cellularity
    • Background shows intact red blood cells
    • Crowded sheets, strips and torn gland forms of crowded, overlapping nuclei with polarization perpendicular to circumferential or luminal axis
    • Peripheral feathering of atypical cells may be seen due to polarization and wisps of cytoplasm
    • Rosette-like structures may be seen
    • Nuclei may bulge out from center of cytoplasm, imparting a snake egg appearance
  • Nuclei
    • Oval to elongated hyperchromatic nuclei with increased nuclear cytoplasmic ratio, mild pleomorphism and evenly dispersed chromatin
    • Mitotic and apoptotic figures are difficult to appreciate
    • Feathering and prominent nucleoli may be absent in SMILE (Acta Cytol 2016;60:225)
  • Cytoplasm
    • Variable cytoplasmic characteristics depending on stain and type of adenocarcinoma in situ
    • Usually eosinophilic or cyanophilic
    • Goblet cells may be present
  • Liquid based cytology
    • Clean background
    • Sheets of atypical glandular cells are often smaller
    • Peripheral feathering may be difficult to appreciate as it appears as peripheral knuckles
    • Rosette-like structures may be difficult to appreciate
    • Single cells and more strips with fish tail or bird tail appearance on SurePath preparations
    • Subtle strips and smaller cells lacking cytoplasmic mucin may mimic endometrial cells
  • Gastric type adenocarcinoma
    • Clean background
    • Single or crowded clusters of tumor cells with pale, foamy or vacuolated cytoplasm and well defined cytoplasmic borders (Int J Gynecol Pathol 2019;38:263)
Cytology images

Images hosted on other servers:

Atypical glandular cells
Missing Image

Groups of atypical rosette-like structures

Missing Image

Feathering

Missing Image Missing Image

Feathering and enlarged hyperchromatic nuclei

Missing Image

Palisading and enlarged nuclei


Missing Image

Palisading and feathering

Missing Image

Forming a rosette-like structure

Missing Image Missing Image

Enlarged nuclei

Missing Image

Feathering and enlarged nuclei


Missing Image Missing Image

Homogenous chromatin pattern

Missing Image

Slightly atypical metaplastic cells

Positive stains
  • p16: strong and diffuse block-like positivity in HPV related adenocarcinoma in situ types, patchy or negative staining in gastric type (rarely overexpressed)
  • ProExTMC (aberrant S-phase induction): strong and diffuse positivity
  • CEA: diffuse cytoplasmic positivity (especially conventional type)
  • Ki67: high (usually > 75% in conventional type, variable in other types)
  • P63: may be positive in basal portion of SMILE
  • CDX2: positive in intestinal type
  • HIK1083: positive in gastric type adenocarcinoma in situ (Virchows Arch 2016;469:351, Methods Mol Biol 2015;1249:213)
  • Mucicarmine: positive (pink) intracytoplasmic staining in SMILE
Negative stains
Molecular / cytogenetics description
  • Human papillomavirus detection (Int J Gynecol Pathol 2010;29:378)
    • Positive by polymerase chain reaction or in situ hybridization in most adenocarcinoma in situ types
    • Gastric and intestinal types are typically negative
Sample pathology report
  • Cervix, cone biopsy:
    • Endocervical adenocarcinoma in situ, HPV associated (usual type)
    • All resection margins free of adenocarcinoma
Differential diagnosis
  • Histology
    • Cervical Arias-Stella reaction:
      • History or pregnancy or hormonal therapy; usually focal, enlarged cells with abundant eosinophilic to vacuolated cytoplasm, preserved nuclear cytoplasmic ratio, enlarged hyperchromatic and irregular nuclei with variable chromatin and intranuclear cytoplasmic inclusions, hobnail cells, no mitotic figures or apoptotic bodies, ER / PR positive, Ki67 low, p16 negative
    • Cervical endometriosis:
      • Evidence of recent or remote hemorrhage, endometrial stroma, endometrioid glands with cuboidal to columnar eosinophilic cytoplasm and bland nuclei, variable mitoses in both glandular and stromal components
    • Benign reactive endocervical glands:
      • Lack abrupt transition to normal endocervical cells, often associated with inflammatory infiltrate, typically dispersed chromatin with prominent nucleoli, p16 negative or focally positive
    • Mesonephric remnants:
      • Usually deep in cervical wall with intraluminal eosinophilic secretions, bland nuclei without mitotic activity, GATA3 positive, p16 negative or focally positive
    • Microglandular hyperplasia:
      • Smaller and more uniform glands with frequent subnuclear and supranuclear vacuoles, bland nuclei, no mitotic activity, associated with acute inflammation, no apoptotic bodies, variable mitoses
    • Tubal metaplasia:
      • History of previous cervical conization or loop excision, abundant ciliated cells, ER, PR, BCL2, PAX2 and vimentin positive
    • Radiation and cautery effects:
      • Enlarged nuclei with smudged chromatin, preserved nuclear cytoplasmic ratio, vacuolated cytoplasm, no pseudostratification, no apoptotic bodies or mitoses
    • Invasive adenocarcinoma:
      • Infiltrating glands with irregular, haphazard or confluent growth with desmoplastic stromal reaction and extension beyond benign endocervical glands
    • High grade squamous intraepithelial lesion (HSIL):
      • Should be differentiated from SMILE, polygonal cells with intercellular bridges lacking intracytoplasmic mucin
  • Cytology
    • Cervical Arias-Stella reaction:
      • History or pregnancy or hormonal therapy; abundant eosinophilic to vacuolated cytoplasm with preserved nuclear cytoplasmic ratio, no mitotic or apoptotic figures, p16 negative to focally positive, ER, PR positive, MIB1 low
    • Endometriosis, directly sampled lower uterine segment or endometrial polyps:
      • Strips, variably shaped glands or spheres that may be accompanied by plump stromal cells
      • Background blood may mimic tumor diathesis
      • p16 negative to focally positive
      • Endometrium is also commonly found in post-trachelectomy samples (Cancer 2008;114:1, Diagn Cytopathol 2009;37:641)
    • Benign reactive endocervical glands:
      • Flat sheets, school of fish appearance, preserved nuclear cytoplasmic ratio, evenly dispersed chromatin with prominent nucleoli, p16 negative to focally positive
    • Tubal metaplasia:
      • Rare groups or strips, powdery or watery chromatin, no other patterns of adenocarcinoma in situ, no mitotic and apoptotic bodies, terminal bars and cilia are key diagnostic features, p16 focally or patchy positive
    • Radiation atypia:
      • Cells with bizarre sizes and shapes with vacuoles but preserved nuclear cytoplasmic ratio, p16 negative to focally positive
    • Invasive adenocarcinoma:
      • Tumor diathesis in background which is variable depending on cytology preparation, more rounded vesicular nuclei with conspicuous nucleoli, nuclear pleomorphism and polarization may be lost
    • High grade squamous intraepithelial lesion (HSIL):
      • Peripheral flattening or rounding of hyperchromatic crowded groups of cells, larger cells compared to adenocarcinoma in situ arranged parallel to circumferential axis, lack of peripheral feathering
Practice question #1

    Which of the following immunoprofiles would be expected in an HPV related (usual type) adenocarcinoma in situ?

  1. Block-like p16, high Ki67 index, diffuse ER
  2. Block-like p16, high Ki67 index, focal ER
  3. Focal p16, low Ki67, focal ER
  4. Focal p16, low Ki67, diffuse ER
Practice answer #1
B. Block-like p16, high Ki67 index, focal ER. HPV related usual type adenocarcinoma in situ is characterized by diffuse, block-like staining for p16, high Ki67 index and negative or focal ER expression.

Comment Here

Reference: Adenocarcinoma in situ (AIS)
Practice question #2

    Which of the following immunoprofiles would be expected in gastric type adenocarcinoma in situ?

  1. Block-like p16, high Ki67 index, diffuse ER
  2. Block-like p16, high Ki67 index, focal ER
  3. Focal p16, variable Ki67, focal ER
  4. Focal p16, variable Ki67, diffuse ER
Practice answer #2
C. Focal p16, variable Ki67, focal ER. Most cases of gastric type adenocarcinoma in situ are characterized by negative or focal staining for p16, variable Ki67 index and focal ER staining
.

Comment Here

Reference: Adenocarcinoma in situ (AIS)
Practice question #3
    Which of the following cytologic features would be expected in a posttrachelectomy Pap smear from a 35 year old woman treated with trachelectomy for invasive endocervical adenocarcinoma?

  1. Atypical endocervical cells, favor neoplastic
  2. Atypical endometrial cells
  3. Tubular endometrial glands in a bloody background
  4. Atypical glandular cells, not otherwise specified
Practice answer #3
C. Tubular endometrial glands in a bloody background. 33% of patients treated with trachelectomy for cervical cancer show endometrium on follow up Pap smears.

Comment Here

Reference: Adenocarcinoma in situ (AIS)
Back to top
Image 01 Image 02